의료상담
55글자 더 채워주세요.
2개의 답변이 있어요!
안녕하세요. 김철진 치과의사입니다.
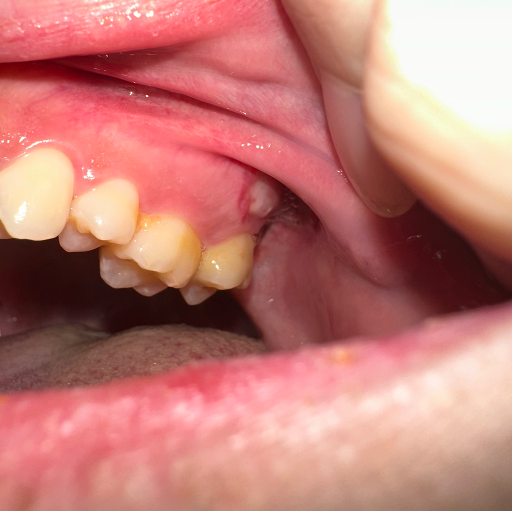
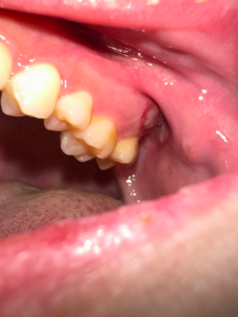
잇몸뼈가 들어 난건 아니고 저부위에 상처가 생겨서 저렇게 보이는거 같습니다. 시간이 지나면 괜찮아 지는거니 너무 걱정하지 않으셔도 됩니다.
안녕하세요. 안상우 치과의사입니다.
사진으로 봤을 때는 잇몸 뼈가 드러났다기보다 발치를 하는 도중에 잇몸에 상처가 나거나 해서 구내염이 생길 것으로 보입니다.
발치를 하는 과정에서 주변 잇몸에 손상이 가해지거나 할 수 있지만 잇몸은 재생이 잘 되는 조직이기 때문에 대부분 일주일이 지나면 아물게 됩니다

