아하
  • 토픽

  • 스파링

  • 잉크

  • 미션


의료상담

의젓한미어캣174

의젓한미어캣174

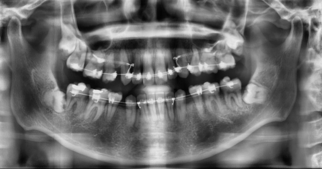
파노라마 치아 옆 까만 선 왜 이런가요?

현재 교정치료중입니다 (콤비)

파노라마는 얼마전 사랑니 발치전후에 찍은 사진으로 한달간격으로 찍었습니다. 몇달전부터 오른쪽 어금니(파노라마상 왼쪽 어금니)가 씹을때마다 불편했는데 파노라마를 찍어보니 다른 부분이랑 조금 다르게 조금 큰 까만 세로 선이 보여서 혹시 제가 씹을때 불편한것과 관련이있을까 싶어 여쭤봅니다. 왜 이럴까요..?

다른치료로 다른 치과에 방문했을때 저것이 치주인대부분이다. 저렇게찍힐수있다라는 말만 하시긴하셨어요.

교정치료중 생길수있는 증상이라 시간이 지나면 괜찮아질지...아니면 다른치료가 필요한 상황인지 궁금합니다

  • 1번 째 사진
  • 2번 째 사진
  • 3번 째 사진

3개의 답변이 있어요!

  • 김지훈 치과의사

    김지훈 치과의사

    메가

    안녕하세요. 김지훈 치과의사입니다.

    교정치료중 치아가 이동하며 생길수있는 증상이라 시간이 지나면 괜찮아질 것으로 예상됩니다.

  • 안녕하세요. 김철진 치과의사입니다.

    치아를 이동시키게 되면 치아의 인대가 늘어 나면서 저렇게 진하게 보이는 경우가 발생합니다.

  • 안녕하세요. 최석민 치과의사입니다.

    치아와 잇몸뼈 사이 치주인대가 있는 곳이고 염증이 있으면 그 공간이 넓어져서 엑스레이상에 보입니다