의료상담

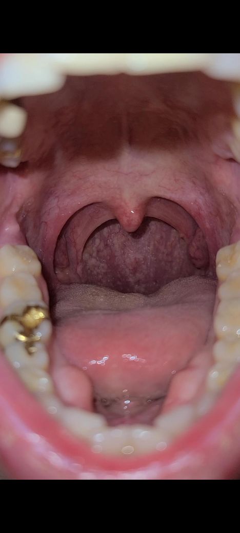
이거 편도가 부은건가요??제가 편도 비대칭인거 같은데

성별

남성

나이대

30

기저질환

공항장애

복용중인 약

공항장애약

심한가요??아니면 문제 없나요

부은건지 모르겠지만 심한가요 상태 비대칭인데 궁금합니다 병원가야 할 정도인가요??아시는분

  • 1번 째 사진
  • 2번 째 사진
  • 3번 째 사진

1개의 답변이 있어요!

  • 편도도 그렇고 몸이 완벽하게 대칭일 수는 없습니다. 사진을 통해서 보았을 때에 겉으로 보기에는 좌측의 편도가 오른쪽 보다 더 크게 보이긴 합니다만, 비정상적으로 크지 않으며 붓기가 있다고 판단할만한 소견이 따로 있어 보이지는 않습니다.