아하
  • 토픽

  • 스파링

  • 잉크

  • 미션


꽃다운산양278

꽃다운산양278

허리 mri 결과가 궁금합니다....

성별

남성

나이대

27

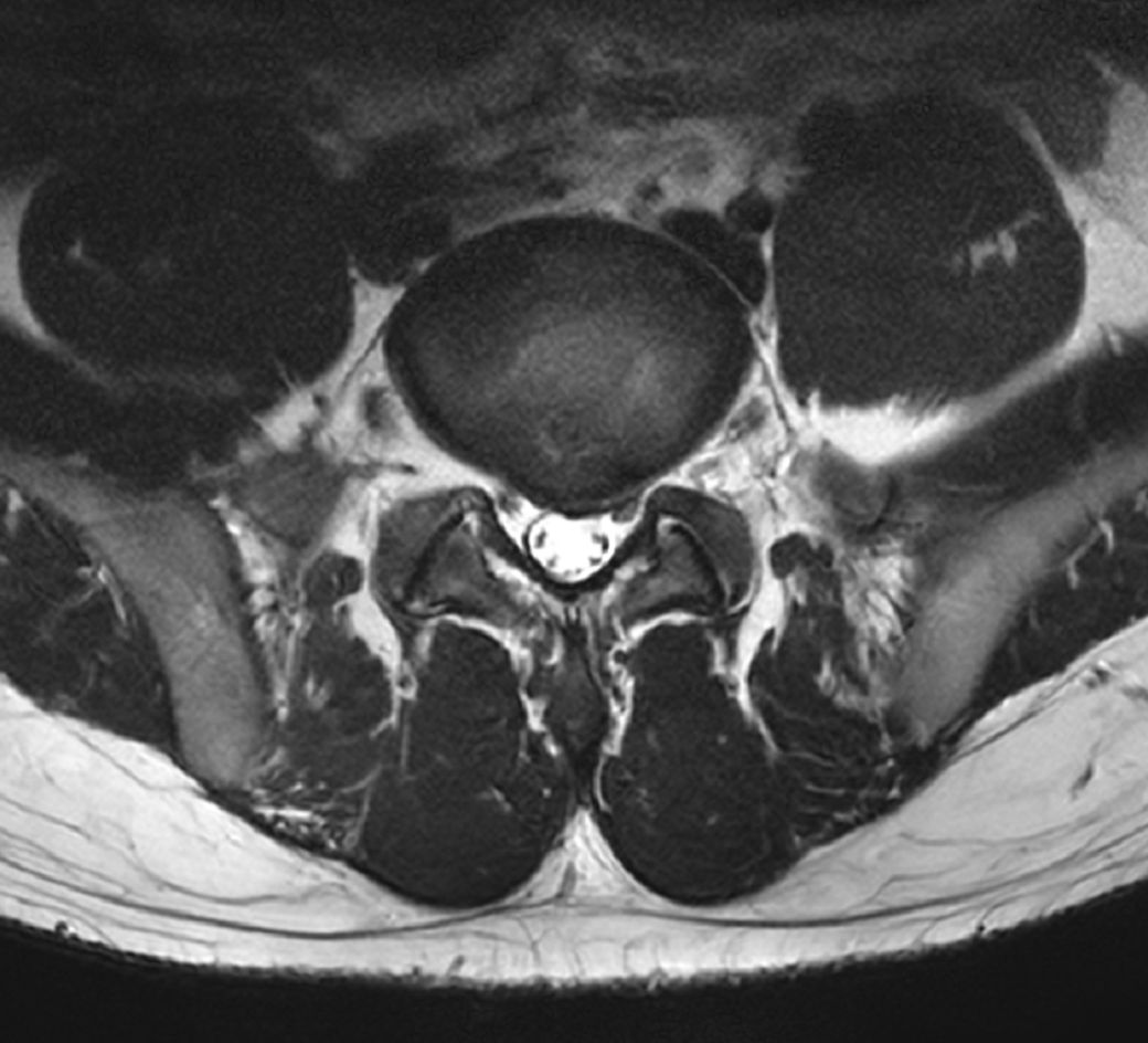
허리 삐끗후 mri 촬영하여 cd만 받고 진료는 좀 뒤로 밀려서 궁금한 마음에 사진 올립니다 ㅜ

먼저 cd 열어보니 사진이 여러개 있던데 대충 사진 보는 법 구글링해서 몇개 추출한거라 단면 같은건 잘못된 걸 고른걸 수도 있어서 양해 부탁드립니다 ㅜ

1. 현재 평소에는 큰 통증은 없지만 오래 걷거나 앉으면 허리가 뻐근해집니다... mri상 상태가 많이 심각한가요?

2. 한국나이로 27살인데 진로 준비로 고등학생때부터 앉아있는 시간이 정말 긴편이라 약간의 허리통증은 항상 있었습니다. 현재 나이에 비해 퇴행성 변화?는 많이 심각한가요? 3~40대에 심각하게 아플까봐 걱정입니다 ㅜ

  • 1번 째 사진
  • 2번 째 사진
  • 3번 째 사진

1개의 답변이 있어요!

  • 남희성 의사

    남희성 의사

    대학병원 재활의학과

    안녕하세요. 남희성 의사입니다.

    요추5번 - 천추1번 사이의 디스크에 탈출증이 있으시네요.

    나이에 비해서 디스크간격도 좀 좁아져있는 상태입니다. 지금 허리가 아프신것도 다 디스크가 원인이겠습니다.

    이야기 하신것과 같이 오래 허리를 굽힌 상태로 앉아있는 생활이 이 디스크탈출의 원인이겠습니다.

    요추전만 자세를 잘 지켜주시는게 가장 중요하며 하루에 한번도 허리를 굽히지 않는다 생각하시기 바랍니다.

    머리를 감을때도 샤워를 하면서 허리를 펴고 감으셔야합니다.

    아래 영상 보시고 허리관리를 신경쓰시기 바랍니다.

    지금부터 관리하시면 점점 허리통증이 발생하는 빈도가 줄고 그 후로는 다시 아프지 않으실겁니다.