아하
  • 토픽

  • 스파링

  • 잉크

  • 미션


의료상담

눈부신종다리164

눈부신종다리164

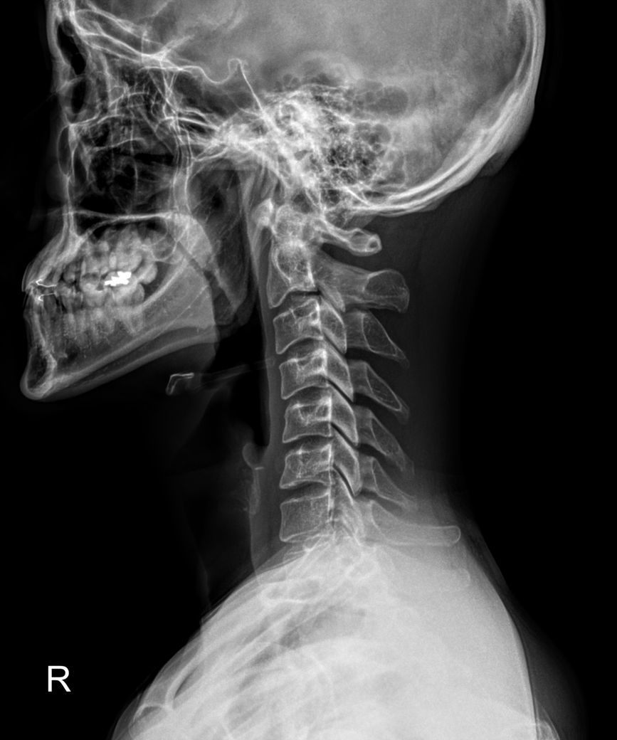
목 xray찍어봤는데 거북목 많이 심한건가요? 부탁드립니다..

성별

남성

나이대

25

복용중인 약

없음

안녕하세요 25살 남자이구요,

무거운 옷을 입고 자주 나갔더니 어깨 통증이 있어서 근처 정형외과에서 x-ray를 찍어봤는데요

아래 사진처럼 나왔습니다.

의사선생님께서는 거북목이 엄청 심하다고, 나이가 있어서 완벽한 교정에 회의적이라 하셨구요

물리치료사분께서는 근래 본 거북목 환자 중에 가장 심하다면서 주 3회 도수 치료 받자고 하셨어요...

거북목인건 알았는데 그렇게 심한건가요...?

집에서 교정 운동 하고 있긴 한데 주 3회 도수 치료 받는 게 나을까요?

어떻게 하는게 좋을까요? 비용도 비용이다보니 고민도 되고 착잡하네요..

  • 1번 째 사진
  • 2번 째 사진
  • 3번 째 사진

2개의 답변이 있어요!

  • 탈퇴한 사용자

    탈퇴한 사용자

    안녕하세요. 유민혁 의사입니다.

    목 뼈는 정상적으로 C자 모양을 보여야하는데, 질문자 님은 목뼈가 일자 또는 약한 역 C자 형태로 심한 거북목에 해당합니다.

    목 통증이 자주 있으실 것으로 생각됩니다.

    교정방법에 대해서는 진료받은 병원에서 상담받으시길 추천드립니다. 도수치료의 효과는 사람마다 차이가 크기 때문에 명확히 말씀드리기가 어렵습니다.

  • 안녕하세요. 남희성 의사입니다.

    거북목이 심하시긴 한데 결국 자세의 문제이기 때문에 일상생활에서의 자세를 다 뜯어고쳐보시고 시간이 지난 후에도 개선이 되지 않으면 그때 도수치료를 받아보시면 되겠습니다.

    평소에 목을 앞으로 굽히는 활동을 완전히 다 없애주시기 바랍니다. 예를 들면 머리 감을때도 고개 숙여서 검지 말고 샤워하면서 감으시면 도움이 되겠습니다.

    평소 티비, 책, 휴대폰을 볼 때 무조건 내 눈높이 보다 높이 위치시켜서 보시는게 도움이 되겠습니다. 길을 걸을때도 바닥이 아니라 먼산을 보면서 걸으시는게 도움이 되겠습니다.

    도수치료를 통해서 짧아진 근육을 스트레칭하고 목을 신전시키는 근육을 강화시킨다는 개념도 완전 틀린말은 아니지만 자세때문에 생긴 거북목임으로 자세를 먼저 교정해보시는게 더 적절하겠습니다.