치아 상태가 임플란트 식립이 필요한 정도인가요?
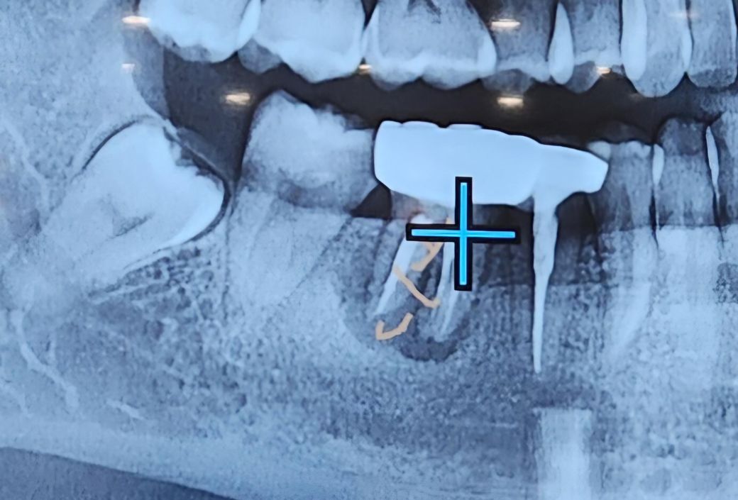
치과에서 첨부 사진의 십자가 커서가 위치한 곳의 크라운 치아의 상태가 매우 좋지 않다고 뼈이식 및 임플란트 식립을 추천하시던데요. 현재 해당 치아가 아프거나 불편하지는 않은 상태인데 임플란트를 당장 하는 것이 좋은 걸까요?
적절한 진단인지 조언 구합니다.
안녕하세요. 최석민 치과의사입니다.
만성염증 그리고 신경치료가 된 치아이므로 통증이 없을 수도 있으나 엑스레이상으론 잇몸뼈가 녹기 시작했을 정도로 치아 뿌리 주면 염증이 있습니다.
크라운 씌운쪽 치아 안쪽도 삭아있습니다. 크라운을 씌운 치아의 옆쪽(mesial) 치아면이 뚜렷하지 않은 것을 보실 수 있는게 그게 충치로 치아가 삭은 것입니다.
그로 미루어보아 신경치료하고 크라운씌운지도 꽤 된 듯 한데 아직 염증이 저런 상태라면 앞으로도 나빠질 확률이 높습니다. 잇몸뼈가 너무 많이 녹으면 추후 임플란트 심는 난이도가 올라갑니다.
1명 평가안녕하세요. 김지훈 치과의사입니다.
현재 치아 상태를 봤을 때에는 발치 및 임플란트가 필요해보입니다. 안아프면 버티다가 임플란트 하시면 됩니다.
안녕하세요. 김철진 치과의사입니다.
저정도 치아 염증상태라면 발치를 하시고 나서 임플란트를 하시는게 좋을것같습니다. 치아 상태가 많이 안좋은 상태입니다.
안녕하세요. 안상우 치과의사입니다.
사진으로 봤을 경우에는 치아뿌리에 치조골이 많이 손상된 것으로 보입니다. 치주 질환이나 치아 파절로 인해서 손상되었을 가능성을 높으며 치아를 유지하고 있는 치조골이 없다면 치아는 발치를 할 수밖에 없습니다
안녕하세요. 송준범 치과의사입니다.
잇몸뼈가 너무 많이 녹고 뿌리까지 녹아서 발치후에 염증제거하고 골이식 및 임플란트를 하셔야 합니다. 증상이 없는경우도 종종 있지만 그대로 두시면 염증이 번져서 어느날 갑자기 볼이 퉁퉁 부을 수도 있고 봉와직염이, 나아가 근막간극농양으로 번지는 경우도 있습니다. 빠르게 치료받으시는 것이 좋겠습니다.

