의료상담
55글자 더 채워주세요.
2개의 답변이 있어요!
안녕하세요. 김철진 치과의사입니다.
단순 사진으로만 봐서는 잇몸상태를 알수 없습니다. 엑스레이 사진을 찍어봐야 알수 있죠. 그리고 교정을 한다고 무조건 잇몸이 좋아 지는건 아니니 일단 시작하셧으면 마무리를 하시는게 좋습니다.
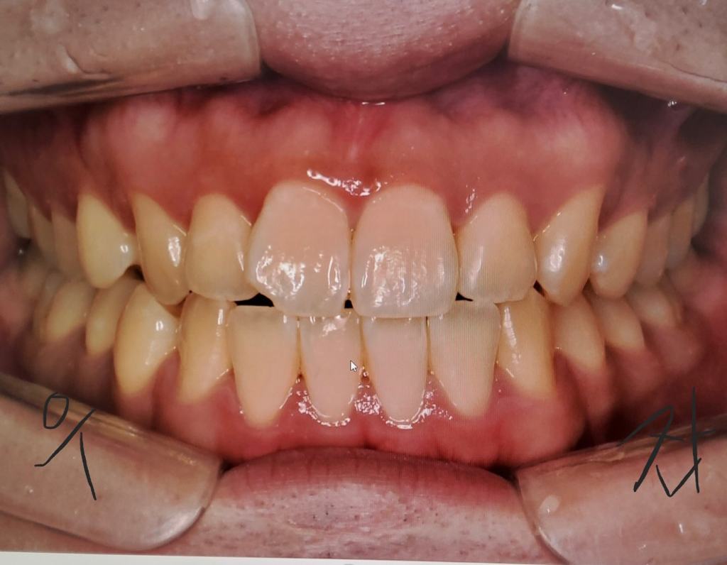
안녕하세요. 최석민 치과의사입니다.
교정으로 인해 잇몸이 안 좋아지는 경우는 치은퇴축(잇몸 높이 낮아짐), 잇몸 염증 발생 등입니다. 원인은 교정력으로 치아를 당기거나 밀다보니 치아 주변의 잇몸이 자극을 받아서 그렇고요. 이로 인해 치아의 뿌리도 짧아질 가능성도 있습니다.
어쨌든 잇몸에 관해서만 보면, 현재 사진에서는 잇몸 높이는 그렇게 많이 낮진 않고, 잇몸이 조금 부어있는 상태이긴 합니다.
만약에 교정전에는 그렇지 않았는데 양치질 할때 피가나고 잇몸도 자주 붓고 아프다고 느낀다면 잇몸관리(스케일링)를 병행하시면 좋습니다. 교정 중에는 교정 자체도 잇몸에 영향을 주기도 하지만 교정으로 인해 부족한 구강위생관리도 잇몸에 안 좋은 영향을 줍니다. 따라서 평소 구강위생관리를 잘해주셔야 합니다.
사실 교정치료는 중간에 중단하면 중간 정도의 효과를 보는 것이 아니고 큰 효과를 보지 못하고 치료 실패로 돌아갑니다. 그래서 중단은 신중히 생각해야 하고 교정치과와 잘 상의해봐야 합니다. 잇몸치료는 병행할 수 있으니 이와 관련해서도 교정치과에 문의를 해보시기 바랍니다.

