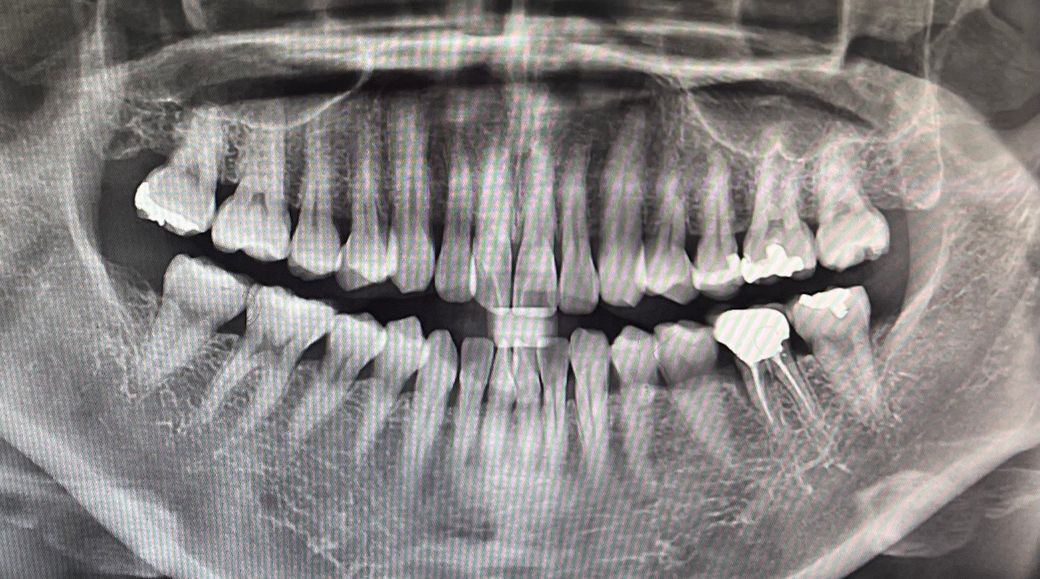
상악동염증상이 맞는지 확인해주실수 있나요?
왼쪽위맨끝어금니 지르코니아로 크라윤함
12/7 신경치료(한번) 후 본뜸
12/14
본뜬게 안맞는지 다시뜸
12/21 크라운 씌움
2/3 부터 잇몸부기 볼부기 턱통증 크라운 이물감 증상생김
3/4 크라운 뜯고 임시치아
크라운하기전 사진
크라운이후 사진
현재증상
잇몸부은느낌과 볼과 광대쪽붓기
광대 얼얼한느낌(심하진않음)
기존병원 말고 다른병원 세곳갔는데 다 볼부은증상도 별개아니라는듯 돌려보냄 한군데서만 항샌제처방해줘서 이틀정도 복용했는데 볼부은게 조금 가라앉긴했음
현재 제 증상의 원인이 상악동염일 가능성이 있는지 봐주세요
필요하면 CT촬영해볼까해서요
혹시 상악동염이 아니라면 이유가 뭘까요 치근단 사진도 찍어봐야 하나요?
병원 여러군데 다녀도 원인을 확실하게 얘기안해주고 절 예민한 사람취급해서 답답합니다
제가 어떤조치를 더 취해볼수 있는지 알려주세요
안녕하세요. 김지훈 치과의사입니다.
상악동염은 파노라마 사진상에서는 관찰되지 않는 듯 합니다. 신경치료를 했던 곳에서 다시 평가 받아보셔야겠습니다.
안녕하세요. 안상우 치과의사입니다.
신병 치료를 했다면 크라우치를 하고 나서도 불편감이 없어야 되는 것이 정상입니다. 불편감이 있다면 치아의 신경 이외에 다른 곳에 문제가 있을 수 있습니다.
치아뿌리에 금이 갔거나 했을 경우에 또 붓기가 있거나 불편감이 있을 수 있습니다.
치아 뿌리에 금이 가게 되면 치아를 발치해야 할 수도 있기 때문에 자세한 확인을 위해서 치과에서 진료를 받아보는 것을 권유드립니다.
안녕하세요. 김철진 치과의사입니다.
사진상으로는 상악동에 염증이 있거나 그래 보이진 않습니다. 보철문제인거 같으니 보철을 봐주는 대학병원 보철과를 한번 가보세요.
안녕하세요. 최석민 치과의사입니다.
치근단 사진도 찍어보면 좋을 것 같습니다.
파노라마 사진상 상악동이 지저분해 보이거나 염증양상은 아닙니다.
안녕하세요. 송준범 치과의사입니다.
말씀하신 사항 만으로는 가능성은 있지만 확실한 진단이 불가합니다.
어금니 끝 염증으로인해 상악동염이 발생했을수도 있긴 한데 보통 광대쪽을 눌러봤을 때 아프고 해당 측 어금니들의 전반적인 통증이 있을 경우, 치아들이 외견상 큰 문제가 없을 경우에
상악동염일 가능성이 좀 높습니다. 항생제도 2일정도 복용 후 약간 가라앉았다고 하셨는데 상악동염이라면 보통 소염진통제와 항생제를 5일정도 복용하시면 거의 괜찮아집니다.
수차례 치료 후에도 호전이 없다면 대학병원에 한번 가보시는 것도 추천드립니다.

