아하
  • 토픽

  • 스파링

  • 잉크

  • 미션


의료상담

귀여운가마우지204

귀여운가마우지204

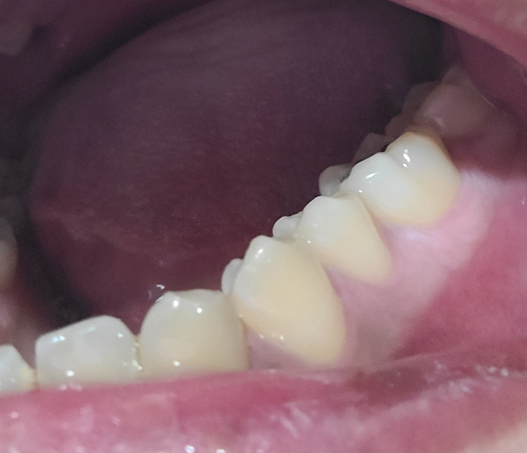
아래잇몸에 하얀 변색, 무엇인가요?




사진 첨부 드립니다. 위와 같이 한 두어달 넘게 아래 잇몸이 이런 식으로 하얗게 경계처럼 나뉘어져 있습니다. 별다른 불편감, 통증은 없는데 무엇일까요?

  • 1번 째 사진
  • 2번 째 사진

2개의 답변이 있어요!

  • 송우식 치과의사

    송우식 치과의사

    솔플란트치과 경기도 성남시 모란역

    안녕하세요. 송우식 치과의사입니다.

    잇몸에 염증이 있는 경우 잇몸이 하얗게 변하게 되기에 치과에 방문하여 상태를 확인하고, 스케일링 및 잇몸치료를 받길 권합니다.

    궁금증 해소에 도움이 되시길 바라며, 도움이 되신 경우 '추천' 부탁드립니다.

  • 안녕하세요. 김철진 치과의사입니다.

    일반적으로는 핑크색을 띄게되는데 저렇게 하얗게 보인다면 잇몸이 음식등에 잇몸이 자극을 받아서 그러는거 같습니다. 시간이 지나면 괜찮아 지실꺼에요.