아하
  • 토픽

  • 스파링

  • 잉크

  • 미션


의료상담

큰숲새220

큰숲새220

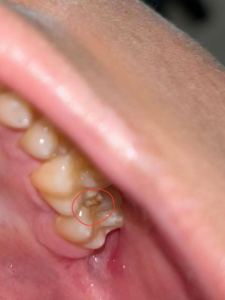
어금니와앞니 사이에 뭔가 낀거같은데 그부분이 시려요

어금니와 앞니사이에 뭔가 낀거같은데 가만히 있어도 시리고 차가운것을 먹어도 시리는데 뭘까요? 충치나 다른 치아관련해서 아픈건지도 궁금합니다

  • 1번 째 사진

3개의 답변이 있어요!

  • 김철진 치과의사

    김철진 치과의사

    가까운우리치과

    안녕하세요. 김철진 치과의사입니다.

    치아 사이에 음식물이제거되지 않아서 잇몸에 염증이 생겻을수도 잇으니 치실이나 치간칫솔로 제거를 해주시는게 좋을것같습니다.

  • 안녕하세요. 김지훈 치과의사입니다.

    단순히 음식물일 가능성이 높아보이며 치실이나 치간칫솔을 이용해 제거해보시는 게 좋겠습니다.

  • 안녕하세요. 최석민 치과의사입니다.

    음식물, 이물질이 낀것 같습니다 식편압입으로 통증, 시림이 있을 수 있습니다 치실이나 치간칫솔로 빼주시기 바랍니다