아하
  • 토픽

  • 스파링

  • 잉크

  • 미션


의료상담

그윽한쇠오리251

그윽한쇠오리251

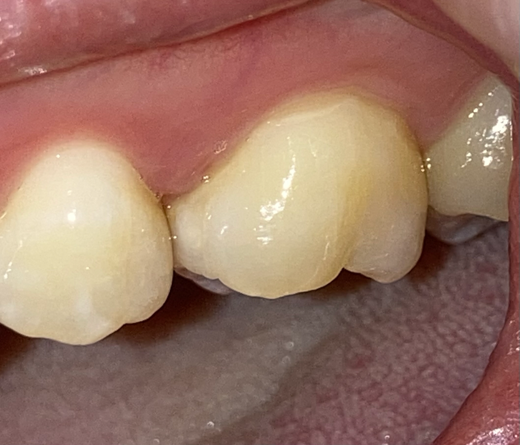
치아 사이 검은색 충치일까요? 또한 치경부 마모증이 맞을까요?


이가 시려서 사진을 찍어 확인 하던 중 발견했습니다.

정확히 말씀 드리자면 이가 시리다기 보다는 잇몸 경계선이 시리고 찍어 보니 치경부 마모가 있는 거 같아요.

증상으로는 찬물 마실 때 시리고 양치 처음 시작할 때 잇몸 경계선에 가져다 대면 시리며 귤, 포도 먹을 때 시림, 또한 얼음을 잇몸 경계선에 대면 시립니다. 쓰읍 하며 바람을 넣을 때에도 시립니다.

또 한 가지 궁금한 점은, 저렇게 치아 사이에 검은색? 갈색? 선이 있는데 치석인지 충치인지 궁금합니다.

스케일링 안 하지 몇 년 된 거 같아요.. 이번주 즈음에 치과는 갈 예정입니다 :)



  • 1번 째 사진

3개의 답변이 있어요!

  • 김철진 치과의사

    김철진 치과의사

    가까운우리치과

    안녕하세요. 김철진 치과의사입니다.

    사진상에 보이는건 충치가 있어 보이진 않고 치경부 마모증떄문에 그렇고 경계선은 착색이된거 같습니다.

  • 안녕하세요. 안상우 치과의사입니다.

    칫솔에 의해 치아의 옆부분이 마모가 된것을 마모증이라.고 합니다.

    칫솔질을 하는 방향이 잘못되어 치약에 있는 마모제에 의해 치.아가 마모가 되게 되는데 정도가 경증이거나 시린증상이 크지 않다면 칫솔질하는 방법을 배우셔서 치아에 자극이 되도록 하지 .않으면 그냥 사용하셔도 됩니다.

    마모의 정도가 심하거나 시린증상이 아프거나 할때는 레진이라.는 치과용 재료로 간단하게 메꾸시면 시린증상을 줄일 수 있습니다.

  • 안녕하세요. 송우식 치과의사입니다.

    치석이 쌓여있기에 우선제거를 하고, 마모된 부위를 레진으로 메꾸는 치료를 받길 권합니다.

    궁금증 해소에 도움이 되시길 바라며, 도움이 되신 경우 ‘추천’ 부탁드립니다. 감사합니다.