아하
  • 토픽

  • 스파링

  • 잉크

  • 미션


의료상담

한참파릇파릇한왕자

한참파릇파릇한왕자

24.09.25

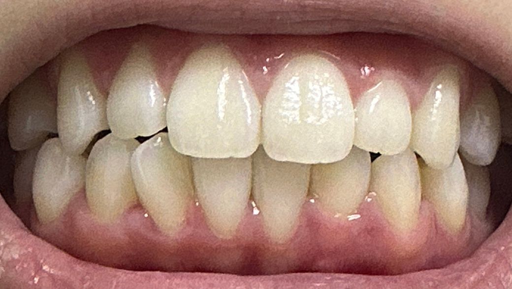
잇몸치료까지 해야하는 상황인가요?

20대초반이고 얼마전에 치과 갔을때 나이에 비해 잇몸이 좋진 않다고 하셨고 부었다고 하셨어요. 따로 잇몸치료에 대해서는 말씀 없으셨는데 잇몸이 점점 내려가고 위에쪽은 잇몸이 올라가는게 보여요. 잇몸치료까지 받아야하는 상황인가요?

  • 1번 째 사진

5개의 답변이 있어요!

  • 안상우 치과의사

    안상우 치과의사

    목동안치과의원

    24.09.27

    안녕하세요. 안상우 치과의사입니다.

    사진으로 봤을 경우에는 잇몸에 염증이 있는 것으로 보이진 않습니다. 양치질을 꼼꼼히 하시고 치실을 사용해 준다면 잇몸에 생긴 염증을 예방할 수 있습니다.

  • 안녕하세요. 김지훈 치과의사입니다.

    사진만으로는 특별히 잇몸치료까지 필요해보이진 않고 주기적으로 스케일링 하면 될 것 같습니다.

  • 안녕하세요. 김철진 치과의사입니다.

    엑스레이를 봐야 정확히 알수잇겟지만, 사진상으로는 크게 잇몸에는 문제가 잇는건 아닌거 같습니다.

  • 안녕하세요. 송우식 치과의사입니다.

    사진상으로는 잇몸이 크게 부어있거나 염증이 있어보이지는 않으나, 보다 정확한 상태 확인을위해서는 치과 진료를 받고 치료여부를 결정하길 권합니다. 잇몸이 좋지 않은 경우 3-6개월 간격으로 스케일링은 정기적으로 받는 것이 좋습니다.

    만족스러운 답변되셨으면 합니다.

    ★평가★ 감사합니다.

  • 안녕하세요. 최석민 치과의사입니다.

    잇몸에 염증이 있는 상태로 스케일링, 잇몸치료가 필요해보입니다 잇몸높이가 낮아지는 것은 잇몸질환으로 인한 잇몸퇴축의 증상입니다 잇몸관리하면서 현상유지를 목표로 합니다