홈
토픽
스파링
잉크
미션
전문가 신청
베리몰
나도 질문하기
의료상담
꽤역동적인청설모
성별
여성
나이대
35
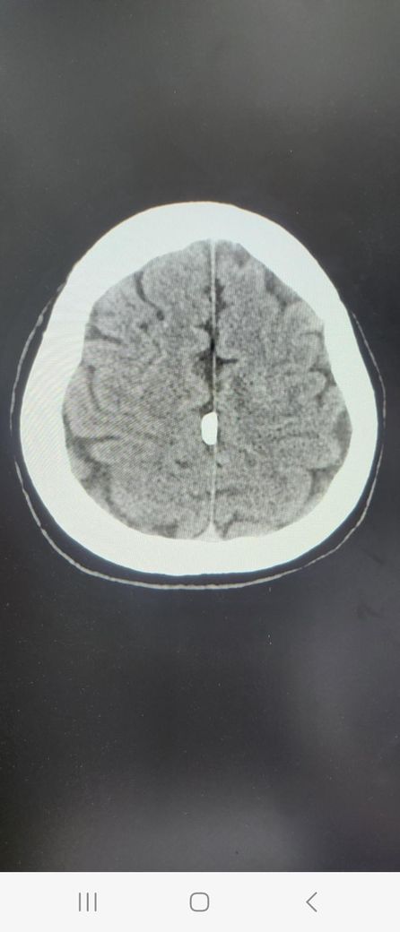
병원에서 궁금하면 종양인지 석회인지 mri찍어볼래요?라는데 환자 증세가지고 홀짝하는것도 아니고.... 전문가 선생님들 도와주세요
사진 보기
1개의 답변이 있어요!
옥영빈 의사
홍성의료원
∙
환자의 증세를 가지고 홀짝을 하는 것이 아니라 해당 CT 소견을 통해서는 단순한 석회인지 아니면 종양인지에 대한 감별이 가능하지 않기 때문에 확인을 위해서는 MRI 등의 더 정밀한 검사가 필요한 것이 맞습니다.
평가
1
응원하기