아핫뉴스실시간 인기검색어
아핫뉴스 화산 이미지
화산 아이콘 11
신우현 일상 공개
많이 본
아하

의료상담

치과

국희씨
국희씨

어금니 시 충치치료 인레이? 크라운?

어금니 충치가 깊어 크라운(지르코니아)를 해야 한다고 해서 충치부위 삭제 후 임시로 메꾼 상태입니다. (충치가 신경까지 닿지는 않았으나 인접하다고 하심. 일단 신경치료없이 크라운진행)

다른 병원을 가니 인레이로도 가능할 거 같다는데

이럴 때는 어떤 걸 해야할까요?

정말 고민이에요 ㅠㅠ

임시로 메꾼 치아로 2주 정도 생활 중인데 10번 중 1번 씹을 때 아파요 음식물이 메꾼 곳 틈 사이에 들어가면 아픈 거 같아요 이런 경유 신경치료 필수일까요 ㅠㅠ

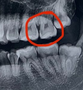
  • 1번 째 사진
4개의 답변이 있어요!
  • 안녕하세요. 김철진 치과의사입니다.

    치아 사이에 충치가 잇는거 같습니다. 인레이 치료를 하셔야될것같고 신경치료 가능성도 잇어 보입니다.

    1명 평가
  • 안녕하세요. 김지훈 치과의사입니다.

    사진상으로는 신경치료 가능성이 높지만일단 충치를 제거해본 이후에 결정할 것 같습니다.

    1명 평가
  • 안녕하세요. 정진석 치과의사입니다.

    지금 사진으로 정확한 판단이 어렵지만 신경치료를 해야할 가능성이 매우 높습니다. 인레이로 가능하다고 하는 치과도 증상이 나타난다면 결국에는 신경치료로 넘어갈 것입니다. 즉 충치가 이미 신경과 매우 근접하므로 신경치료의 가능성을 무조건 염두해두고 치료를 해야 합니다.

    현재 임시 치아 상태에서 지속적으로 불편감이 나타나고 개선되지 않는다면 결국에는 신경치료로 넘어갈 가능성은 매우 높습니다.

    1명 평가
  • 안녕하세요. 최석민 치과의사입니다.

    1. 크라운을 위해 치아 삭제하고 임시치아 해둔 상태인데 다른 치과를 갔을 때 그걸 보고 인레이가 가능하다고 했을리 없는데 뭔가 설명에 오해가 있을 것 같네요

    2. 씹을때 아프면 최소 크라운해야하고, 신경치료는 자발통(가만히 있어도 아픈 경우)이 있으면 진행합니다.

    1명 평가