아핫뉴스실시간 인기검색어
아핫뉴스 화산 이미지
화산 아이콘 11
허찬미와 영지母 출전
아하

의료상담

치과

음메에
음메에

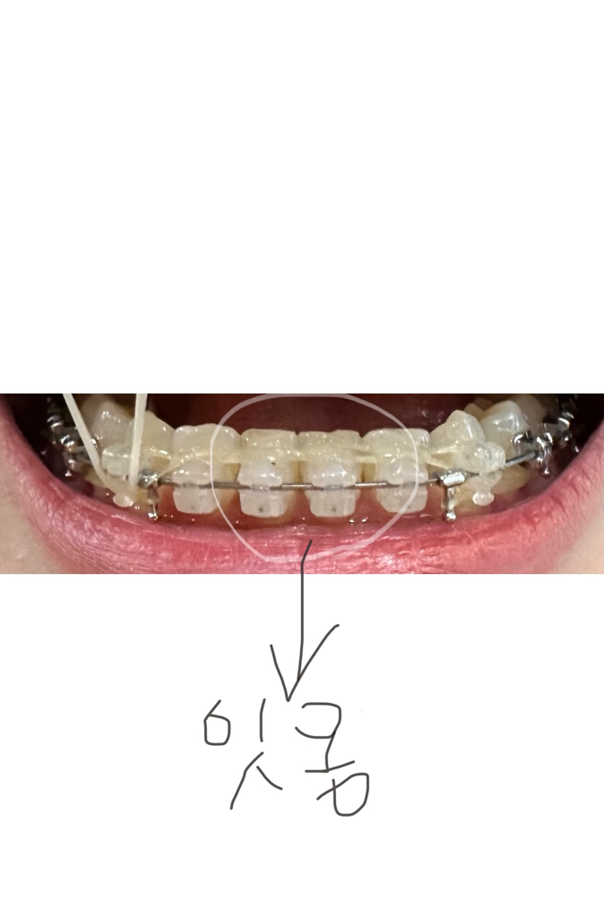
치아 아래 앞니봐주세용 ㅠㅠ!!!

제가 지금 당기기(마무리단계) 하고있습니다




사진 보시면 아래 앞니가 좀 더

잇몸 쪽으로 내려가야하지 않을까요?


동그라미 친 곳의 이빨이 깨져있어서 살짝씩 갈았습니다


갈았는데도 옆에 치아보다 좀 더 위에 위치해 있는 거 같아서 걱정입니다

치과에 말씀 드리는게 좋나요?


  • 1번 째 사진
2개의 답변이 있어요!
  • 안녕하세요. 정진석 치과의사입니다.

    사진상으로는 크게 문제가 되는 부분은 없어 보입니다. 다만 앞니가 잇몸 쪽으로 내려가야 한다는 것은 상대적으로 잇몸이 내려가 보인다는 것인데 이는 사람마다 차이가 있을 수 있습니다. 병적인 퇴축이 아니라면 크게 걱정하지 않으셔도 되나 다음 교정 치과 방문 때 문의를 하는 것도 좋아 보입니다.

    아무쪼록 저의 답변이 문제 해결에 작게 나마 도움이 될 수 있기를 기원드립니다. 항상 건강하고, 행복하세요^^

    정진석 치과의사 드림

  • 안녕하세요. 김철진 치과의사입니다.

    사진상으로 보면 크게 문제가 있어 보이진 않습니다. 추후 마무리시 높이 차이가 잇다면 교합조정을 하시면됩니다.