아하
  • 토픽

  • 스파링

  • 잉크

  • 미션


의료상담

옹골진칼새158

옹골진칼새158

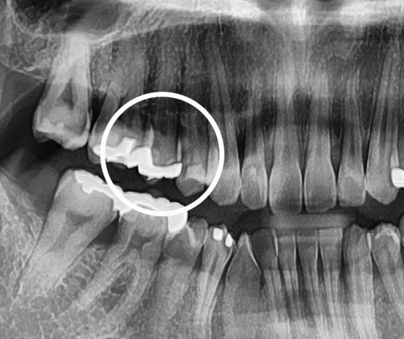
15번치아가 찬물을 마시면 5초동안 아픕니다

치주 2군데 가봤는데 한군데는 이상 없으니 일주일정도 기다려보라고 하시고 한군데는 금간것으로 보이며 신경치료후 크라운해야될거같다고 하시는데 사진보고 조언해주실분 계신가요ㅠ 가만히 있을때는 괜찮습니다 밥먹을때도 괜찮아요

  • 1번 째 사진

2개의 답변이 있어요!

  • 김지훈 치과의사

    김지훈 치과의사

    메가

    안녕하세요. 김지훈 치과의사입니다.

    사진상으로는 원인이 명확히 보이진 않습니다.

    증상이 계속되면 기존수복물을 제거해봐야 합니다

  • 안녕하세요. 김철진 치과의사입니다.

    예전에 치료를 햇던 부위가 충치가 심햇던거 같습니다. 치료햇던 하방으로 방사선 투과상이 보이기도 하니 계속 불편하시면 신경치료를 하셔야될것같습니다.