의료상담
뇌 MRI 일부 한번 봐주실수 있나요?
성별
남성
나이대
18
기저질환
양극성 정동장애 2형, 기침형 천식
복용중인 약
리단정 300mg
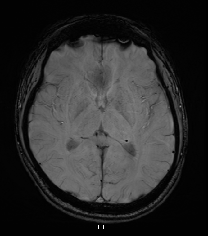
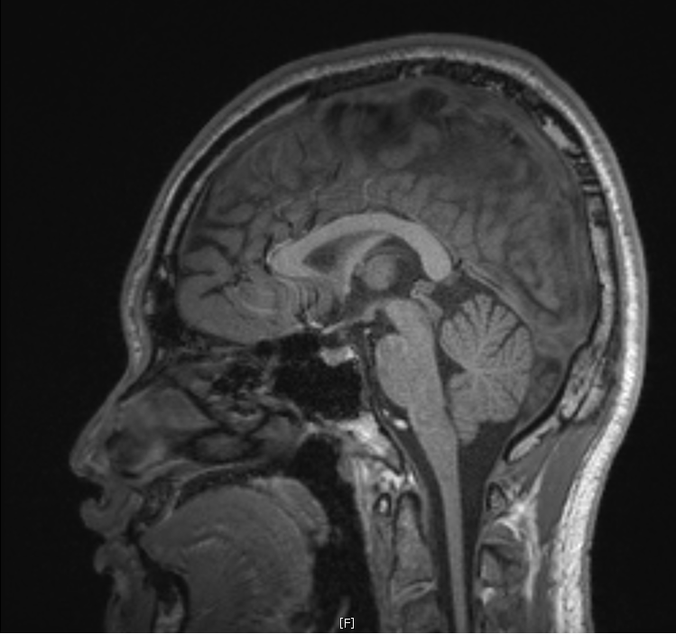
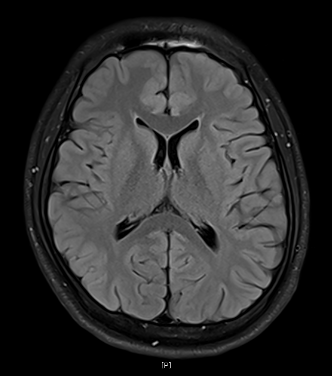
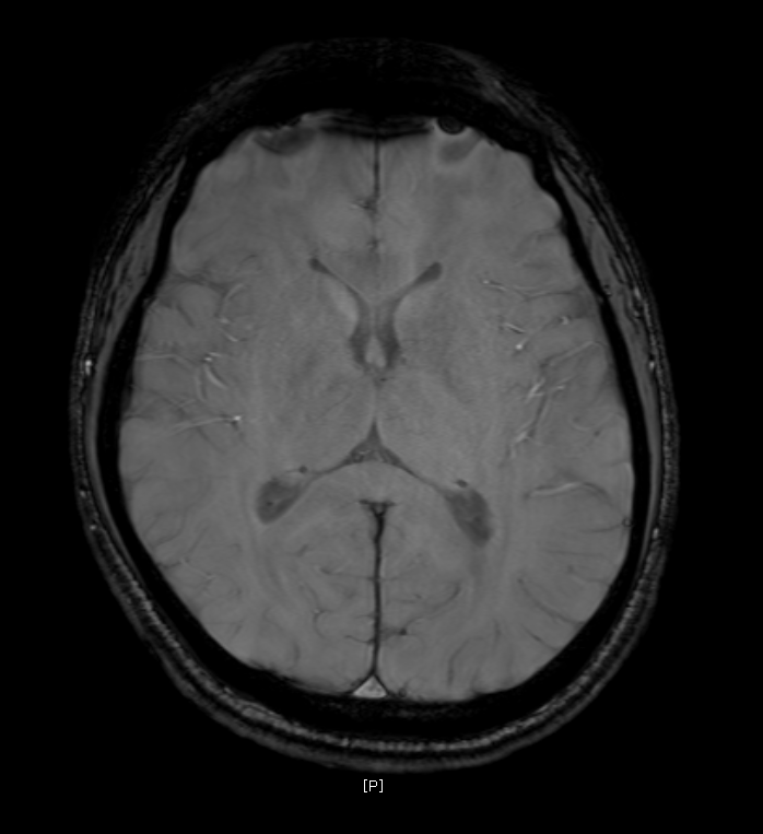
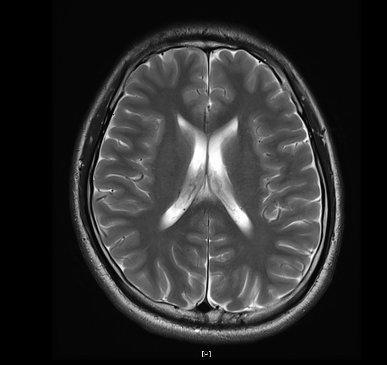
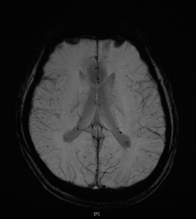
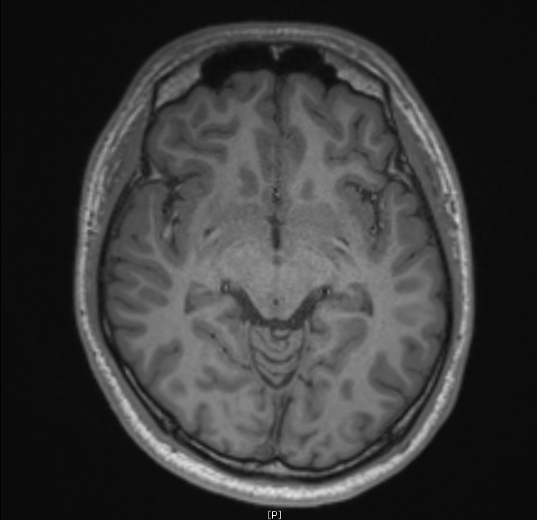
지난 금요일에 MRI를 촬영했는데요
혈관같기도 하고 하얀색 붕붕 뜨는 게 있어보이는데 (혈관같음)
한번 봐주실수 있나요? 그리고 전체적으로 괜찮은지도 봐주시면 감사하겠습니다.
55글자 더 채워주세요.
1개의 답변이 있어요!
안녕하세요. 채홍석 의사입니다.
특별하게 눈에 띄는 병변은 있어보이지 않습니다
말씀하신 것은 혈관의 가능성이 높겠습니다
추천 좋아요 부탁드립니다.

