아핫뉴스실시간 인기검색어
아핫뉴스 화산 이미지
화산 아이콘 11
서울버스 파업 대응 계획
아하

의료상담

치과

다정한양88
다정한양88

임플란트 주위염으로 녹은 잇몸뼈.. 꼭 임플란트를 제거해야하나요

안녕하세요

최근 급격하게 안좋아진 잇몸으로 치과에 방문했다가 지금 임플란트밑으로 고름이 찼고 잇몸뼈가 다 녹아서 옆에 치아에 번지기 전에 하루빨리 임플란트를 제거하고 뼈가 차오르길 기다렸다가 뼈이식한후 임플란트를 다시 해야한다는 소견을 받았습니다 (캐나다 거주중, 현지 치과 방문)

귀가하여 그부분에 대해서 찾아보던 중 임플란트 제거는 가장 마지막 옵션이라는 것을 보고 임신 가능성도 배제할 수 없는 상태라 조금 더 신중하고자 조언을 여쭙니다

증상

- 잇몸을 손으로 막 누르면 불편함은 조금 느껴지는 상태

- 씹고 먹는데에 문제없음

- 워터픽할시 피가 잘나옴

- 가끔 고름인지 피인지 시큼한 맛이 느껴질 때가 있음

- 턱이나 귀가 조금 불편한가? 아닌가? 의문이 살짝 들정도 긴가민가한 증상이 있음

- 임플란트 흔들림 없음

현재 캐나다에 거주하고 있고 꼭 빼야만 한다면 최대한 빠르게 제거하고 4월 한국 방문시 다시 재점검을 받아보려고 하는데요

만약 임신을 했을시 임플란트 수술을 권장하지 않는다고 하는데.. 그럴 경우는 어떻게 대처해야할까요?

제거해놓고 임신 출산 신생아육아때문에 일년이 넘는 시간동안 두게되면 윗니를 철사로 묶어놓아도 문제가 생기지 않을까 개인적으로 걱정이 되서요..

현재 아목시실린 항생제 복용중입니다

조언 부탁드립니다

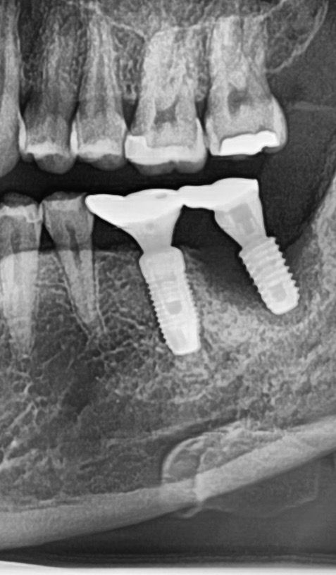
  • 1번 째 사진
2개의 답변이 있어요!
  • 안녕하세요. 김철진 치과의사입니다.

    사진에 보이는 임플란트는 주변잇몸뼈가 다 녹아 있는상태 입니다. 제거를 하시는게 좋을것같습니다.

  • 안녕하세요. 최석민 치과의사입니다.

    문제가 있어도 임플란트가 흔들림이 없는 것은 자연치아와 달리 임플란트는 뼈에 유착되어 있는 것이기 때문입니다. 붙잡고 있는 뼈가 조금만 있어도 임플란트는 잘 안 흔들리죠.

    허나 엑스레이 사진을 보면 염증으로 이미 뼈가 대부분 녹았습니다. 저건 임플란트 제거 말고 답 없습니다.

    산부인과에 의뢰서를 써서 협진하여 만일의 상황을 대비해야하나 보통 임신 2기라면 통상적인 치과치료 가능합니다. 저정도면, 임신->출산->산후조리 까지 대략 1~2년 후에 하게 된다면 상황만 더 안 좋아집니다.