아하
  • 토픽

  • 스파링

  • 잉크

  • 미션


의료상담

Sysysysysysy

Sysysysysysy

25.05.06

치아 뿌리 염증? 물혹? 씨티 좀 봐주세요ㅡ ㅜㅠ

개인 병원에 갔는데 처음에는 엑스레이 상으로는 전신 마취 꼭 안하고 수술해도 된다 하셨어요

그런데 ct찍어보고는 대학병원 가야할 것 같다고 하네요…..

이렇게 엑스레이와 ct 로 볼때 결과가 차이가 날 수 있나요??

그리고 염증이 많이 심각한가요????

수술이 많이 까다로울지 궁금해요

감사합니다…….

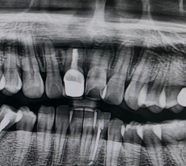
처음엔 이정도 부위만 염증으로 보인다하셨어요

  • 1번 째 사진
  • 2번 째 사진
  • 3번 째 사진
  • 4번 째 사진

3개의 답변이 있어요!

  • 김지훈 치과의사

    김지훈 치과의사

    메가

    25.05.06

    안녕하세요. 김지훈 치과의사입니다.

    이렇게 엑스레이와 ct 로 볼때 결과가 차이가 날 수 있나요??

    그리고 염증이 많이 심각한가요????

    -> 차이가 날 수 있으며 염증이 심합니다.

  • 안녕하세요. 김철진 치과의사입니다.

    엑스레이는 단편적인 모습만 보는거고 CT의 경우에는 범위나 위치를 더 정확히 확인기 가능합니다.

  • 안녕하세요. 최석민 치과의사입니다.

    염증이크고 주변 해부학적 구조를 건드릴 위험 때문에 대학병원의 전문과 처치를 권한것 같고요

    일반엑스레이와 ct는 퀄리티 차이가 좀 날 수 있습니다