아핫뉴스실시간 인기검색어
아핫뉴스 화산 이미지
화산 아이콘 11
장동혁 대표 특검 발언
많이 본
아하

의료상담

이비인후과

하체부실
하체부실

목이 너무 아픈데 감기심한건가요? ㅠ

성별
남성
나이대
20대

오늘 아침부터 동생이 감기에 걸렸는데 저는 지금 수험생이라 웬만하면 감기안걸리는게 나은데 심한편인가요? 목이 좀 아픈데 답변부탁드러요

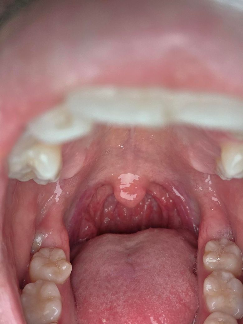
  • 1번 째 사진
  • 2번 째 사진
1개의 답변이 있어요!
  • 안녕하세요. 최규은 내과 전문의입니다.

    직접 봐야 정확하게 판단이 되겠으나 사진상으로는 인두쪽에 발적이 동반되어있어 인두염으로 보입니다. 물 많이 마시고 충분히 휴식을 취하시는게 좋겠고 많이 아프시면 부루펜류의 소염제를 드시는게 도움이 됩니다. 열이 나거나, 많이 힘들면 진료를 보시는게 좋겠습니다. 참고하시기 바랍니다.