아하
  • 토픽

  • 스파링

  • 잉크

  • 미션


의료상담

안녕하세ㅇ

안녕하세ㅇ

복부초음파 신장 낭종 보실줄 아시는분?

성별

여성

나이대

30대

여러 의사분들 의견이 필요해서 다시 올려요

이미 답변해주신분은 감사합니다 안해주셔도됩니다

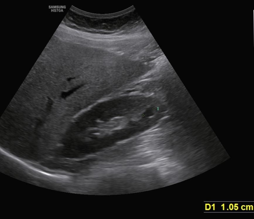
단순 낭종 물혹 같나요?

확대한 시진 보면 두개 사진 둘다 안에 미세하게 하얀?선 있고 완전 다 까만건 아닌거 같아 보이는데 참고하여서요.

2023년 조영제복부ct에선 없었고 2024년 4월 복부초음파에서도 없었어요

그동안 1.05cm 생긴거면 암 확률이 높나요?

  • 1번 째 사진
  • 2번 째 사진
  • 3번 째 사진
  • 4번 째 사진

2개의 답변이 있어요!

  • 최규은 내과 전문의

    최규은 내과 전문의

    의사

    안녕하세요. 최규은 내과 전문의입니다.

    사진만 봐서는 비교적 경계가 명확한 편이고 안에 특별히 자라나는 것도 없어보이기 때문에 양성 병변일 가능성이 높습니다. 신장 낭종에서 1cm정도는 흔하게 나오기는 합니다. 보통 초음파에 점수를 메겨주는데 bosniak 점수가 1점이나 2점 중에 안 좋은 모양이 아니면 안심해도 되는 경우가 많습니다. 판독을 확인해보시고 의료진과 상담해보시기 바랍니다.

  • 설명 주신 정보만 기준으로 판단하면, 단순 낭종 가능성이 높아 보입니다.

    복부초음파에서 내부가 대부분 무에코(검게 보임)이고, 미세한 흰 선이나 점은

    → 후방음영, septation처럼 보이는 artifact, 또는 얇은 벽 반사인 경우가 흔합니다.

    → 이 소견만으로 바로 “복잡 낭종”이나 악성 소견으로 보지는 않습니다.

    크기 1.05 cm는 매우 작은 편입니다.

    2023년 조영 CT, 2024년 4월 초음파에서 없었다가 새로 보였다는 점만으로 암 가능성이 높다고 보지는 않습니다.

    → 신장암은 보통 고형 성분, 혈류, 불규칙한 벽, 빠른 성장 등을 동반합니다.

    Bosniak 분류로 보면

    → 현재 설명상 Bosniak I 또는 IIF 가능성이 가장 높습니다.

    → 이 경우 악성 가능성은 매우 낮습니다(대략 1–5% 미만).

    권장되는 현실적인 접근은

    • 6–12개월 후 추적 초음파

    • 크기 증가, 내부 고형 성분, 혈류가 생기면 그때 조영 CT 또는 MRI 고려

    현재 정보만으로 “짧은 기간에 생겼으니 암일 확률이 높다”고 보기는 어렵습니다. 추적 관찰로 충분한 상황으로 판단됩니다.