강아지 엑스레이랑 방사선 검사 봐주세요ㅠㅠ
강아지가 목줄을 하고 산책 중에 갑자기 집에 가려고 차도로 뛰어드는바람에 교통사고가 났습니다. 천천히 달려오는 차에 부딪히기는 했지만 걱정돼서 바로 병원으로 갔고 엑스레이, 초음파, 혈액검사 다 시행했지만 이상이 없다고 얘기했습니다. 그런데 사고 이후로 계속 토를 해서 병원에 가서 구토약이랑 진통제를 받아와서 먹였는데도 계속 구토를 하네요ㅠ 사료를 그대로 토하는데 이게 스트레스때문인지 아니면 검사상에 이상이 있는지 여쭤보고 싶어서 글 남깁니다. 또한 가슴쪽을 부딪혔는데 흉부 엑스레이 상에서 이상소견이 있는지 확인 좀 부탁드립니다.
안녕하세요. 박주찬 수의사입니다.
사고가 얼마나 크게 났는지는 모르겠지만, 지속적으로 구토를 한 경우 머리쪽이 다쳐서나 혹은 알 수 없는 통증 등으로 인한 증상일 수도 있습니다.
일반적으로 사고가 나면 바로 증상이 나타나는 경우는 많지 않아서 하루 정도 대증처치하고 지켜보신 후 퇴원 하는 것이 좋습니다.
저녁에라도 좋지 않은 경우 메디컬 센터라도 가셔서 치료 하시는 것을 권유드립니다.
안녕하세요. 이광섭 수의사입니다.
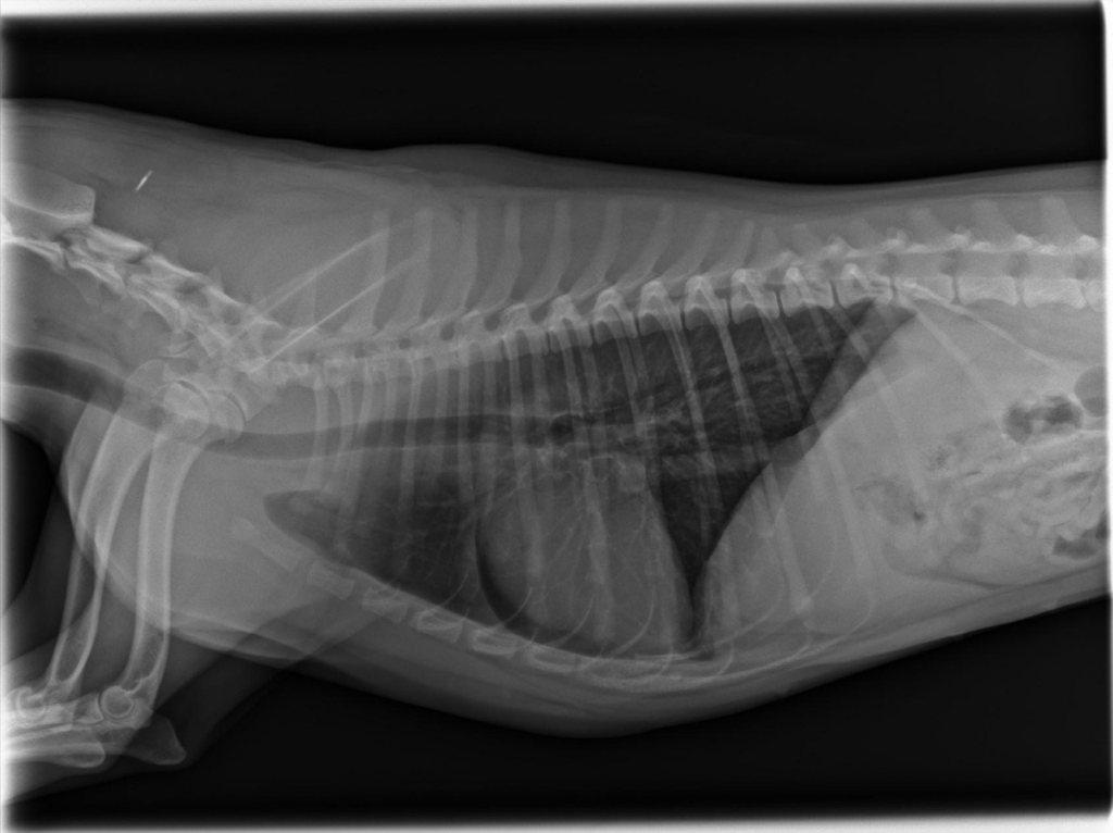
큰 이상 없어보입니다. 다만 사고 후 놀람과 충격으로 인해 장 기능이 일시적으로 놀라 구토, 설사가 지속될 수 있습니다. 당분간 안정을 취해주시면 해결 되니 너무 걱정 마시기 바랍니다.
안녕하세요. 이은수 수의사입니다.
흉부 엑스레이상에서는 교통사고와 관련한 특별한 이상이 관찰되지 않습니다.
초음파 검사의 경우 초음파를 직접 본 사람이 아니면 찍어놓은 사진으로는 아무런 판단을 할 수 없고 해서도 안됩니다.
주치의의 판단이 가장 정확한 판단이겠으나 지현형으로 장기 손상이 일어나는 경우가 종종 있기 때문에 증상이 지속된다면 복부 초음파 검사를 다시 받아볼 필요가 있어 보입니다.
우선 주치의와 상의해 보시기 바랍니다.
장도연이 추천하는 아하!
앱으로 편리하게 사용해 보세요.