아하
  • 토픽

  • 스파링

  • 잉크

  • 미션


다소자신감많은코코아

다소자신감많은코코아

계속 구토하는 강아지 응급처치 필요 여부

반려동물 종류

강아지

품종

믹스견

성별

암컷

나이 (개월)

4살(추정)

몸무게 (kg)

5

중성화 수술

없음

저희 강아지가 제가 새벽 다섯시경 일어나보니 사료섞인 토를 많이해두었어서 일단 일시적인것같아보여 다시자고 여덟시쯤 일어나보니 토가 소량 또 해두었습니다

일단 밥을주지않고 출근한후 2시쯤 퇴근하여 물을 줬더니 물도 토하길래 병원에서 엑스레이와 초음파확인을 했는데 이물질이 있는것같으나 확실하지않다고 하셨고 일단 수액이나 주사, 구토유도제 등 의 처치없이 집으로 돌아왔는데 가는길에 구토를 또 했고 집에서 물을 줬을때 또 구토를 했습니다 닭가슴살죽을 줬는데도 먹지않으려하여 걱정이되서 지금이라도 24시 병원을 내원해야할지 고민됩니다 ..

1. 구토 경과

• 새벽 5시: 사료 섞인 구토 다량 발생

• 아침 8시: 소량 구토 발생

• 출근 후 오후 2시 귀가: 물 섭취 후 구토

• 병원 귀가 중: 구토 1회

• 귀가 후 닭가슴살죽 섭취 시도했으나 거부, 물도 섭취 불가

2. 병원 검사

• 엑스레이, 초음파 검사 진행

• 검사 결과: 이물 가능성 있음, 확실하지 않음

• 처치: 수액, 주사, 구토유도 등 처치 없이 귀가

3. 현재 상태

• 물도 잘 섭취하지 못함

• 음식 섭취 거부

• 구토 계속 발생

4. 문의 내용

1. 현재 증상으로 이물 가능성이 높은지

2. 수액, 처치 없이 귀가한 상태가 안전한지

3. 지금이라도 24시 응급병원 방문이 필요한지

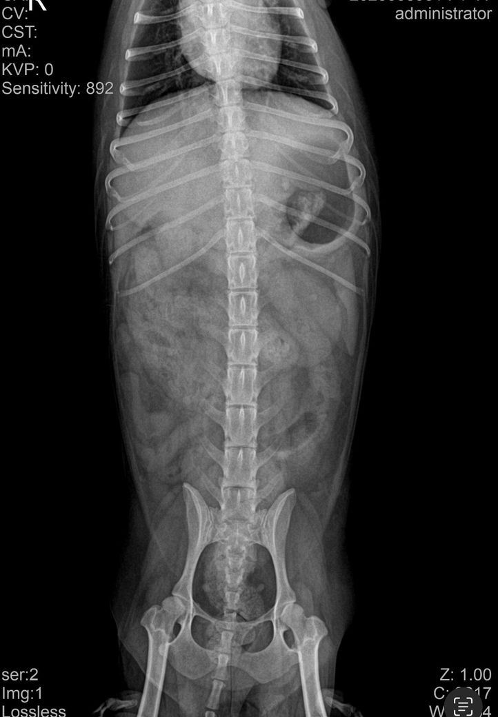
4. 첨부 엑스레이에서 이물 여부 확인 가능 여부

2개의 답변이 있어요!

  • 신상윤 수의사

    신상윤 수의사

    건국대학교

    안녕하세요. 신상윤 수의사입니다.

    엑스레이에서는 명확한 이물이 보이지 않을 수 있습니다. 플라스틱, 실, 천조각처럼 방사선 불투과성이 낮은 이물은 거의 보이지 않기 때문에 초음파로 확인하거나, 장 내 액체 정체나 장 운동 저하로 간접적으로 의심하는 경우가 많습니다. 물을 마셔도 바로 토하는 패턴은 위에서 내용물이 내려가지 못하거나, 위 자체가 심하게 자극된 상황에서 흔히 나타나며 이물 가능성과 위염 두 가지 모두에서 보일 수 있습니다.

    자택에서는 지금처럼 음식과 물을 모두 받아들이지 못하는 경우 탈수가 빠르게 진행될 수 있어 경과 관찰만으로는 위험할 수 있습니다. 특히 오전부터 오후까지 반복된 구토가 이어지고, 병원 방문 후에도 호전이 없는 상태는 집에서 회복되기 어렵습니다. 장이 막히지 않은 경우에도 반복된 구토로 전해질 불균형과 위 점막 손상이 진행되면 구토가 더 악화될 수 있습니다. 수액 치료와 항구토제 투여, 필요 시 재촬영 또는 정밀 초음파가 필요한 상황입니다.

    결론적으로 엑스레이만으로는 이물 여부를 배제할 수 없으며, 반복 구토와 음수 거부가 이어지는 현재 상태는 오늘 바로 24시 응급 내원이 필요할 가능성이 높습니다. 빠르게 수액과 약물 치료를 받으면 장 폐색이 아닌 경우에도 구토가 안정되고 회복 전환점을 만들 수 있습니다.

    감사합니다. 추가 문의 사항 있으신 경우 댓글 적어주세요.

    추가로, 정확한 원인 확인과 치료 방향은 반드시 내원하여 수의사에게 직접 진찰과 상담을 받으셔야 합니다.

  • 안녕하세요. 이은수 수의사입니다.

    첨부한 사진은 복배상의 사진밖에 없고 외측상이 없어 판독할 수 없습니다. 방사선 사진은 원래 앞사진, 옆사진 이렇게 최소 2장이 필요합니다.

    다만 증상 경과를 볼때 장폐색 가능성이 높아 보이고, 방사선 사진상 복막염 가능성을 고려해야 하는 수준으로 보이니 되도록 빠른 시간내에 24시간 케어가 가능한 병원에 가서 진단 및 조치를 취하시기 바랍니다.