아하
  • 토픽

  • 스파링

  • 잉크

  • 미션


의료상담

탈퇴한 사용자

탈퇴한 사용자

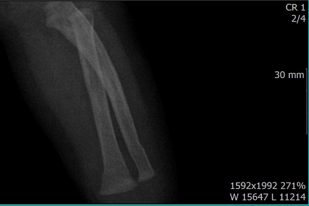
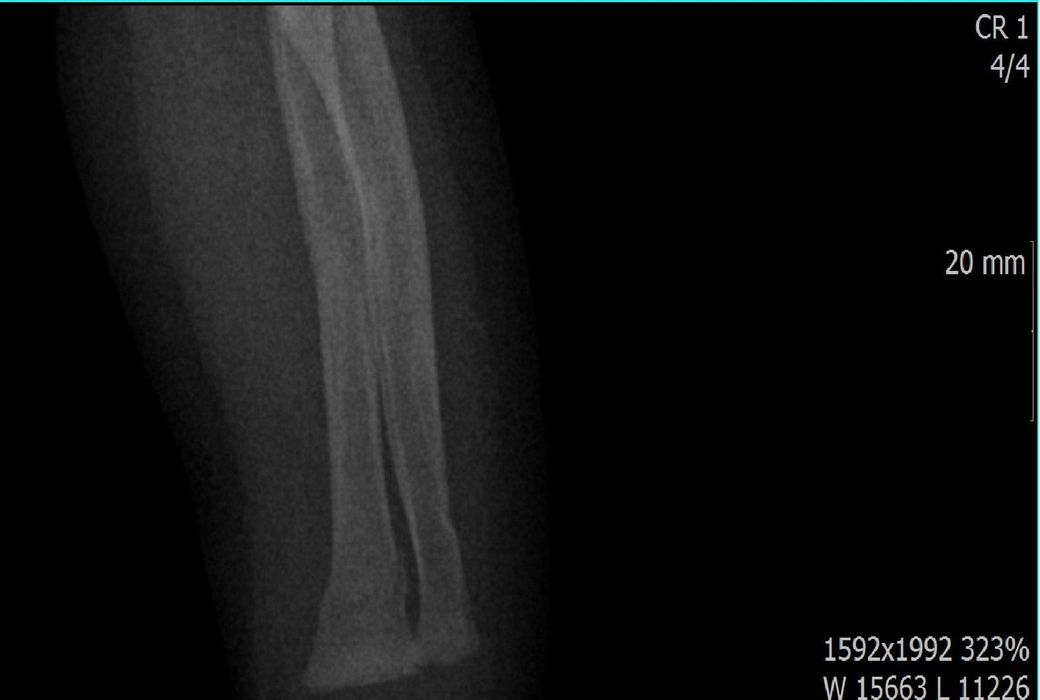
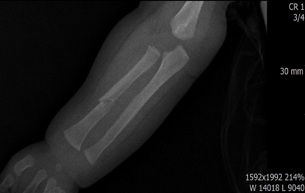
x ray 팔 골절 시기 추정해보고 싶습니다.

성별

남성

나이대

영유아

무더운 날 노고가 많으십니다.

다름이 아니라, 첨부드린 엑스레이(X-ray) 사진처럼 골절 사실을 알게 되고 골절 발생 시점 대략적으로나마 추정시기를 파악하려고 문의 드리게 되었습니다

진료받았던 병원이나 타 병원이 '내가 신도 아닌데 어떻게 아냐'며 협조가 안되고 추정시기도 주장도 달라 너무 답답한 심정에 이 경로로 문의드립니다

1) 3월 30일 촬영한 X-ray만으로 정확한 골절 시기를 100% 특정하는 데에는 한계가 있다는 점 충분히 인지하고 있기에 촬영날짜 기준으로 대략적으로 어느정도 시점에서 발생되었을 것으로 추측(ex 당일, 7~10일전, 7~14일 전, 10일 ~ 20일전, 14일 ~ 30일전 등등등)되는지 이해하고 싶습니다.

첨부드린 파일에는 없지만 4월 5일 사진에서는 캘로스 라는 것이 발견된다고 합니다.

2) 미세한 금, 탈구 등이 있는 상태에서 정복 시도할 시 완전한 골절이 되고 붓기가 부어오를 수 있는지 여부가 궁금합니다.

100% 정확한 날짜를 지정하기를 요청드리는 것이 아니오라, 대략적인 정보를 원합니다

아무도 소견서 써주시는 분이 안계셔서 이곳에라도 도움 요청드리고자 합니다.

혹시라도 소견서 써주실 의사분 계시다면 지역이 어지간히 멀어도 방문하겠습니다. 감사합니다~~

  • 1번 째 사진
  • 2번 째 사진
  • 3번 째 사진
  • 4번 째 사진

1개의 답변이 있어요!

  • 김경태 의사

    김경태 의사

    에스병원

    안녕하세요. 김경태 의사입니다.

    질문올린 사진으로 골절 시기를 알수는 없습니다.

    골절이 될 정도의 충격을 받은 날짜로 잡으시면 될것 같습니다.