아하
  • 토픽

  • 스파링

  • 잉크

  • 미션


의료상담

탈퇴한 사용자

탈퇴한 사용자

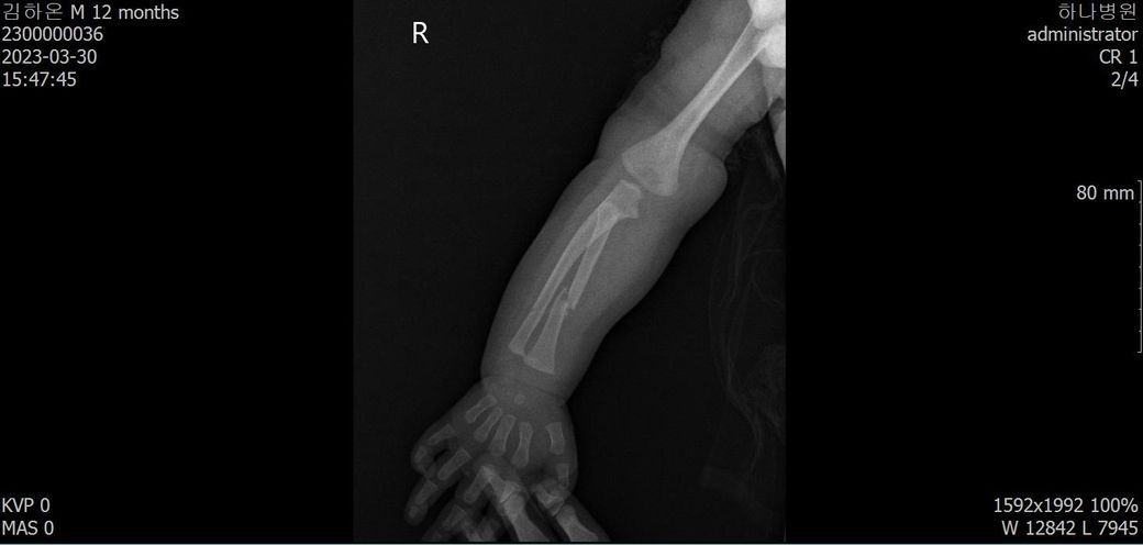
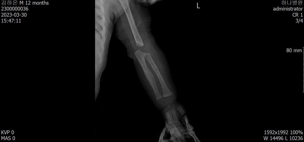
'대략적인' 골절 시기가 궁금합니다.

성별

남성

나이대

영유아

무더운 날 노고가 많으십니다.

다름이 아니라, 첨부드린 엑스레이(X-ray) 사진처럼 골절 사실을 알게 되고 골절 발생 시점 대략적으로나마 추정시기를 파악하려고 문의 드리게 되었습니다

진료받았던 병원이나 타 병원이 '내가 신도 아닌데 어떻게 아냐'며 협조가 안되고 추정시기도 주장도 달라 너무 답답한 심정에 이 경로로 문의드립니다

1) 3월 30일 촬영한 X-ray만으로 정확한 골절 시기를 100% 특정하는 데에는 한계가 있다는 점 충분히 인지하고 있기에 촬영날짜 기준으로 대략적으로 어느정도 시점에서 발생되었을 것으로 추측(ex 당일, 7~10일전, 7~14일 전, 10일 ~ 20일전, 14일 ~ 30일전 등등등)되는지 이해하고 싶습니다.

첨부드린 파일에도 있지만 4월 10일 사진에서는 유합 직전의 상당량의 켈로스 라는 것이 발견된다고 합니다.

100% 정확한 날짜를 지정하기를 요청드리는 것이 아니오라, 대략적인 정보를 원합니다

아무도 소견서나 의견 써주시는 분이 안계셔서 이곳에라도 도움 요청드리고자 합니다.

혹시라도 소견서 써주실 의사분 계시다면 지역이 어지간히 멀어도 방문하겠습니다. 감사합니다~~

  • 1번 째 사진
  • 2번 째 사진
  • 3번 째 사진
  • 4번 째 사진

4개의 답변이 있어요!

  • 전홍윤 물리치료사

    전홍윤 물리치료사

    연세더바른통증의학과

    안녕하세요. 물리치료사입니다.

    대략적인 골절시기는 알기 어려울수 있으나 통증의 발생시기에 따라서 알수있습니다 문의는 가까운 병원을 방문해주세요

  • 안녕하세요. 김강록 물리치료사입니다.

    우선 많이 답답하시겠지만 전문의들마다도 판독 소견이 다르고 엑스레이만으론 판단을 하기엔 많은 제한이 있습니다.

    엑스레이상 골절선이 뚜렷한 시기는 1주, 골막 반응이 보여진다면 1~2주, 연골성 가골이 형성되는 시점은 2~3주, 가골이 명확해지면 3~6주 정도로 추정할 수 있습니다.

    현재로썬 위와 같이 판단을 할 수 있으며 추측으로만 판단 될 수 있습니다^^

  • 안녕하세요. 송진희 물리치료사입니다.

    말씀 주신 대로 "X-ray만으로 골절 시점을 100% 특정하는 것은 불가능"합니다.

    다만 "3월 30일 영상에서 골절선이 비교적 뚜렷하고, 4월 10일에 상당한 가골(callus)이 형성"된 점을 종합하면 "골절은 3/30 당일보다는 최소 수일~2주 이상 이전에 발생했을 가능성이 높습니다."

    영아(12개월)는 성인보다 "가골 형성이 빠르기 때문에, 4/10의 소견은 대략 골절 후 10~21일 전후 범위"로 해석하는 것이 의학적으로 가장 보수적 입니다.

    즉, 의학적 추정 범위로는 "3월 중순 전후(약 1~3주 전 발생)"가 합리적 이며, 그 이상 정밀한 특정은 영상만으로는 어렵습니다.

    답변이 도움 되시기를 바랍니다. 감사합니다~^^

  • 안녕하세요. 김현태 물리치료사입니다.

    올려주신 사진을 참고하였을 때 3월말에는 켈로스(가골)형성이, 4월에는 유합이 진행되고 있는 상태를 고려해볼 수 있겠습니다.

    회복 경과를 바탕으로 대략적인 시점을 고려하여 보자면 3월 말 시점에서 약15-20일 정도의 기간을 골절 발생시기로 의심해볼 수 있겠지만, 정확한 소견은 관련 전문의의 의견을 들어보심이 좋습니다.

    법적이나 행정적 처리를 위한 자료가 필요하신 경우에는 3차 의료기관과 같은 상급 병원에서 진료를 받아보시는 것도 고려해보시는 것이 좋겠습니다.