아하
  • 토픽

  • 스파링

  • 잉크

  • 미션


의료상담

햄찌썬더

햄찌썬더

25.06.10

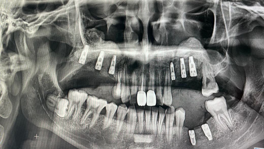
임플란트(2차수술) 시술 후 대기중입니다

일단 여러 치료과정 중의 파노라마 사진이라 치료가 된 부분도 있고 아닌 부분도 있지만(하악 픽스쳐 밑 염증치료완료) 질문 드리고싶은 내용은 임플란트 식립부위의 이야기입니다.

양쪽 상악 어금니는 전부 임플란트를 하고 아래에도 몇개 하고있습니다만

현재는 6/02

힐링어버트먼트 식립하여 16일에 본 뜨러갈 예정입니다

임시틀니를 사용중인데 힐링어벗 높이에 맞춰 조정도 해놓았고 치과에선 일반식 먹고싶은대로 먹으라 하는데 틀니와 어벗의 간섭이 있어도 실패하진 않나요?

한번정도 염증 발생해서 재식립 경험이있어서 조금이라도 실패 확률 높히고싶지도 또 재수술 받고싶지도 않습니다

  • 1번 째 사진

3개의 답변이 있어요!

  • 최석민 치과의사

    최석민 치과의사

    강원도 원주의료원

    25.06.10

    안녕하세요. 최석민 치과의사입니다.

    일반적으로 임플란트 식립 후에는 힘이 가해지지 않아야 성공확률이 높습니다만 이미 골유착이 된 경우라면 괜찮습니다

  • 안녕하세요. 김철진 치과의사입니다.

    최대한 자극이 가지 않도록 하시는게 좋지만, 잇몸뼈에 임플란트 고정이 잘나온상태라서 크게 걱정은 안하셔도 될것같습니다.

  • 안녕하세요. 안상우 치과의사입니다.

    임플란트 이 차 수술을 할 정도면 임플란트의 뿌리가 치조골과 어느 정도 유착이 된 상태일 것입니다. 따라서 틀니를 사용하면서 생기는 간섭은 임플란트에 유해한 힘을 가하진 않을 것으로 생각됩니다.