홈
토픽
스파링
잉크
미션
전문가 신청
베리몰
나도 질문하기
의료상담
공정한큰고래159
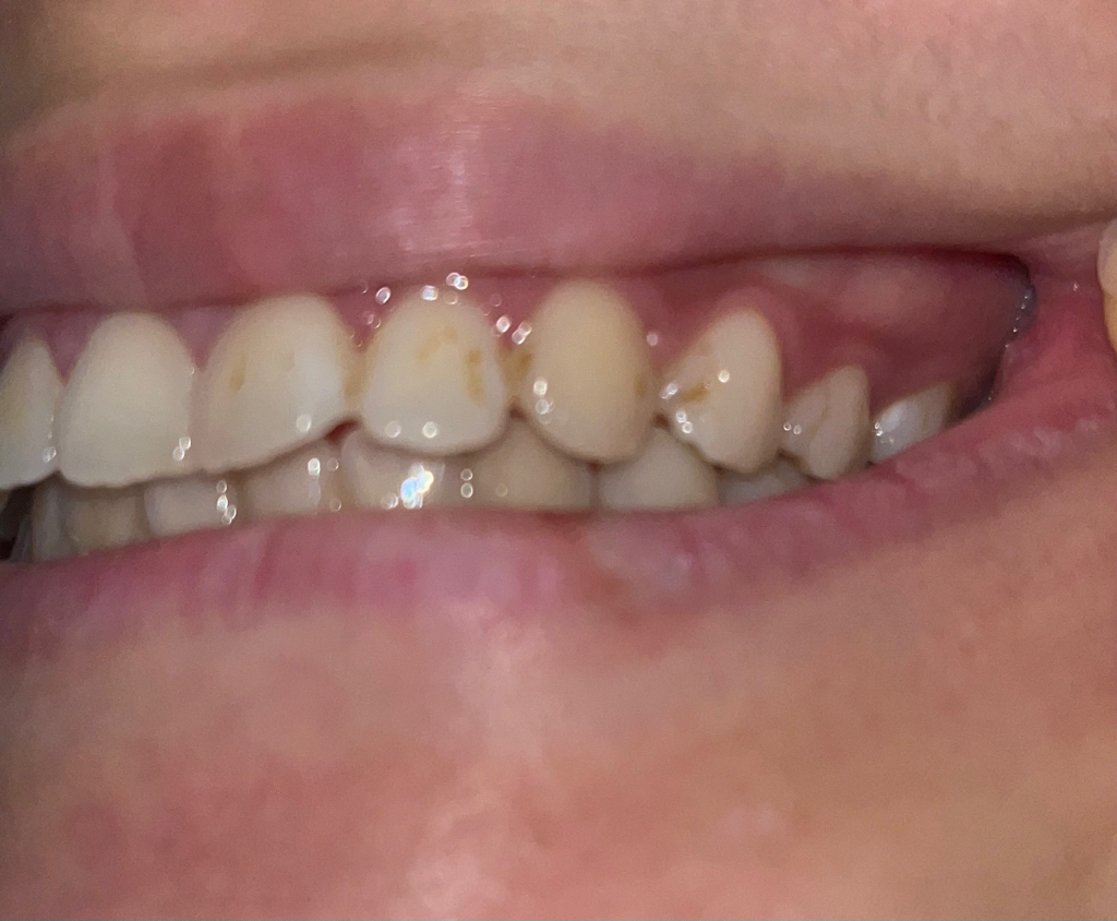
보시다시피 앞니 사이가 아닌 곳에도 검은 반점들이 엄청 많이 생겨나있어요 원래 처음에는 이렇게 많지 않았는데 방치하다보니 점점 많아졌어요 이게 왜 이러는걸까요??
사진 보기
3개의 답변이 있어요!
김지훈 치과의사
메가
∙
안녕하세요. 김지훈 치과의사입니다.
흡연이나 커피 등 음료의 색소로 인한 착색으로 보이며 미백치료를 통해 개선하실 수 있습니다.
평가
응원하기
안상우 치과의사
목동안치과의원
안녕하세요. 안상우 치과의사입니다.
사진으로만 봤을 경우에는 착색이나 초기 충치료 보입니다.
양치질을 꼼꼼이 하시고 치실등을 이용해서 치아 주변을 깨끗하게 유지해 보세요.
정확한 확인을 위하여 치과에서 자세한 진료를 받아보시길 권장 드립니다.
김철진 치과의사
가까운우리치과
안녕하세요. 김철진 치과의사입니다.
레진으로 치료를 받은곳이라면 시간이 오래되면서 미세틈이 생겨서 착색이 됫을 가능성이 있습니다. 치과에 가셔서 검진후 스켈링을 받으셔서 제거를 하셔야될것같습니다.