아하
  • 토픽

  • 스파링

  • 잉크

  • 미션


의료상담

탈퇴한 사용자

탈퇴한 사용자

25.04.22

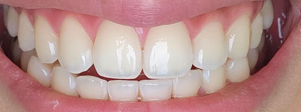
20대 초 잇몸이 좀 내려간건가용ㅠㅠ

왼쪽 윗 앞니 옆 치아랑 아랫 작은 어금니 쪽 잇몸이 많이 파인 거 같은데... 치경부마모인가요? 먹을 때 시리지는 않은데 치료 해야 하나요?ㅠㅠ 제가 이갈이 있다고 하는데 치아 마모가 심한 편인가요 이갈이 치료하면 더 이상 안 갈릴 수 있을까요 20대 초인데...그냥 이리저리 걱정이 너무 많습니다ㅠㅠ

  • 1번 째 사진
  • 2번 째 사진
  • 3번 째 사진

4개의 답변이 있어요!

  • 김지훈 치과의사

    김지훈 치과의사

    메가

    25.04.24

    안녕하세요. 김지훈 치과의사입니다.

    사진상 왼쪽 윗 앞니 옆 치아랑 아랫 작은 어금니 쪽 잇몸이 많이 파인 거 같아 보이지는 않습니다.

  • 안녕하세요. 최석민 치과의사입니다.

    이정도면 치아 마모나 잇몸 퇴축이 심한 편은 아닙니다. 크게 걱정할 정도 아니고 평상시 위생관리 잘해주시고, 1년에 1~2번 정기검진 및 스케일링 받으시면서 관리하면 됩니다.

  • 안녕하세요. 김철진 치과의사입니다.

    사진상으로 보면 잇몸이 많이 내려가거나 마모가 심한건 아닌거 같습니다. 크게 걱정은 안하셔도 될것같습니다.

  • 안녕하세요. 안상우 치과의사입니다.

    사진으로 봤을 경우에는 잇몸이 많이 내려간것으로 보이지는 않습니다 너무 걱정하지 않아도 될것으로 생각됩니다.