아하
  • 토픽

  • 스파링

  • 잉크

  • 미션


의료상담

언제나칼퇴하는고등어

언제나칼퇴하는고등어

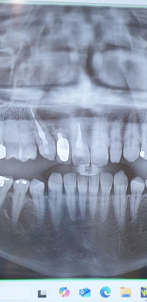
10년 전 치근단제거수술 후 재발했습니다..

송곳니?쪽인데 그당시 염증이 커서 옆치아들까지 신경치료했던 것 같아요

오늘까지 세군데 치과를 다녀왔는데 두군데는 바로 발치하고 임플란트나 브릿지 하자고하시고

한군데는 누르면 아주살짝 아픈거 빼고 증상이없어서 3일치 항생제 처방받고 3일후에 보자고 하셨습니다

의사분마다 당연히 소견이 다를 수 있겠지만 저로써는 많이 혼란스럽네요..

제 질문은

1. 주변치아까지 퍼지지않은 상태라고하시는데 저정도면 약먹으며 경과를 지켜보는 게 나을까요? 아니면 발치하고 임플란트 하는 게 나을까요 (고름이 터져나오지 않고있어요)

2. 치근단재수술은 불가할까요 검색해보니 뿌리크랙?이있으면 어렵다고 보긴했어요..

  • 1번 째 사진

2개의 답변이 있어요!

  • 김철진 치과의사

    김철진 치과의사

    가까운우리치과

    안녕하세요. 김철진 치과의사입니다.

    사진상에 보이는 치아상태라면 발치를 하셔야될것같습니다. 발치후에 임플란트 또는 브릿지 치료를 하셔야될것같습니다.

  • 안녕하세요. 최석민 치과의사입니다.

    저정도면 이미 염증이 잇몸뼈 사방으로 퍼져서 치아와 관련된 치료가 무의미합니다 치근단 절제술이 불가능할정도로 치아 뿌리도 흡수가 많이된 상태입니다 빠른 발치를 추천합니다