아하
  • 토픽

  • 스파링

  • 잉크

  • 미션


의료상담

그럭저럭여유로운성게

그럭저럭여유로운성게

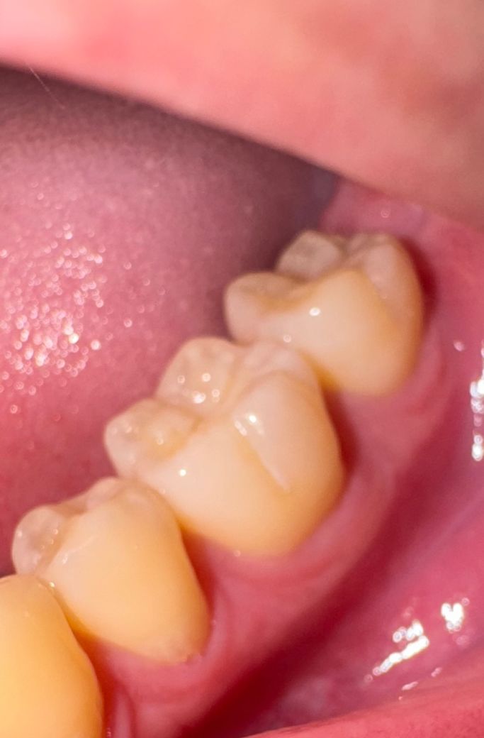
이거 어금니 크랙 인가요 ㅜㅜㅜㅜㅜㅜ

어금니 크랙. 이게 그냥 원래 홈인건지 아니면 크랙인건지.. 머 특별한 증상은 없습니다.. ㅜㅜㅜㅜㅜㅜㅜㅜㅜㅜㅜㅜㅜㅜㅜㅜ

  • 1번 째 사진

3개의 답변이 있어요!

  • 김철진 치과의사

    김철진 치과의사

    가까운우리치과

    안녕하세요. 김철진 치과의사입니다.

    크랙은 아니고 치아 바깥쪽에 잇는 정상적인 구조물이니 크게 걱정은 안하셔도 될것같습니다.

  • 안녕하세요. 안상우 치과의사입니다.

    사진으로 봤을 경우에는 크랙보다 치아에 생긴 홈으로 보입니다. 크게 문제가 되진 않을 것으로 생각되나 자세한 확인을 위해서 치과에서 진료를 받아보는 것을 권유드립니다.

  • 안녕하세요. 최석민 치과의사입니다.

    옆면에 있는 라인은 원래 치아 구조(buccal groove)입니다. 물론 여기서 크랙이 시작되기도 하지만 사진상으론 크랙의 양상은 아닙니다.