아하
  • 토픽

  • 스파링

  • 잉크

  • 미션


의료상담

그럭저럭여유로운성게

그럭저럭여유로운성게

25.06.17

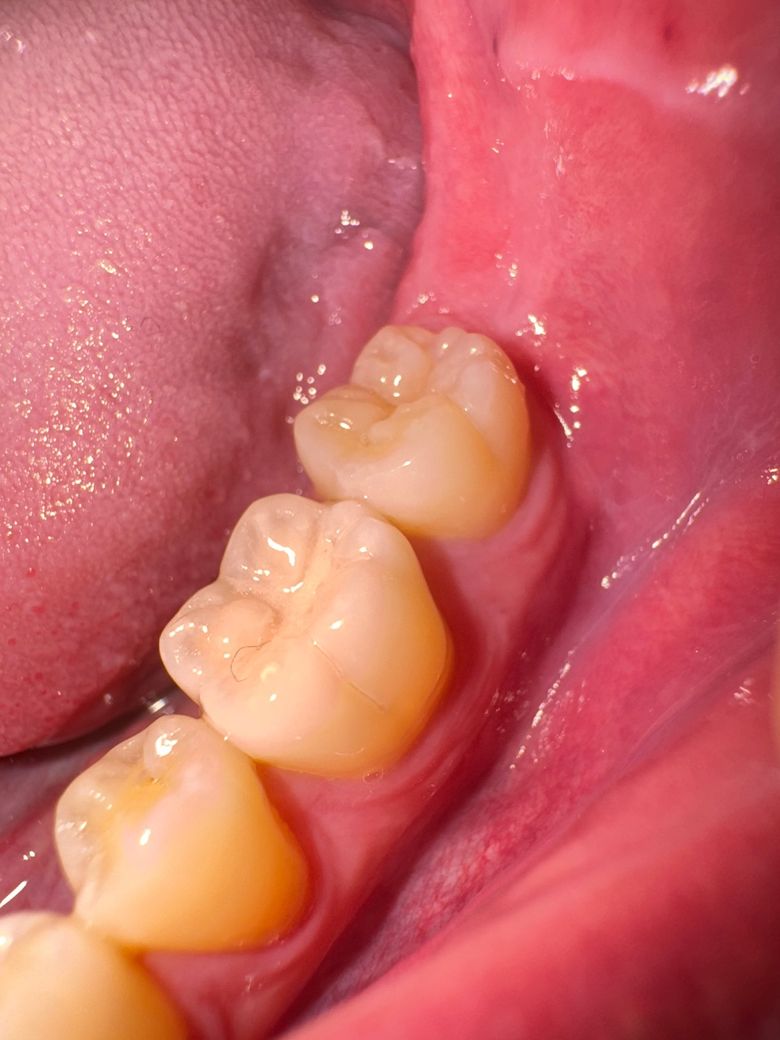
어금니 크랙... ㅜㅜㅜㅜㅜㅜㅜㅜ

이거 크랙 맞나요. 특별한 증상은 없지만 라인이 너무 선명해서요 ㅜㅜㅜㅜㅜㅜㅜㅜㅜㅜㅜㅜㅜㅜㅜㅜㅜㅜㅜㅜㅜㅜㅜㅜㅜㅜㅜㅜ

  • 1번 째 사진

3개의 답변이 있어요!

  • 김철진 치과의사

    김철진 치과의사

    가까운우리치과

    25.06.18

    안녕하세요. 김철진 치과의사입니다.

    사진에 보이는건 크랙라인은 아닌거 같습니다. 치아 바깥쪽에 잇는 치아의 정상적인 구조입니다.

  • 안녕하세요. 안상우 치과의사입니다.

    사진으로는 정확한 확인이 어려워 보입니다. 단순히 크랙이라기보다 충치 등이 생겨 있을 가능성이 있어 보입니다.

    자세한 확인을 위해서 치과에서 진료를 받아보는 것을 권유드립니다.

  • 안녕하세요. 최석민 치과의사입니다.

    두가지 가능성이 있습니다. 크랙일 수도 있고, 원래 존재하는 해부학적 구조일 수도 있습니다. 치과가서 바이트테스트 해보세요. 씹을때 아프거나 찬물에 시리면 크랙일 가능성이 좀 더 높습니다