아하
  • 토픽

  • 스파링

  • 잉크

  • 미션


의료상담

내내차분한시베리안허스키

내내차분한시베리안허스키

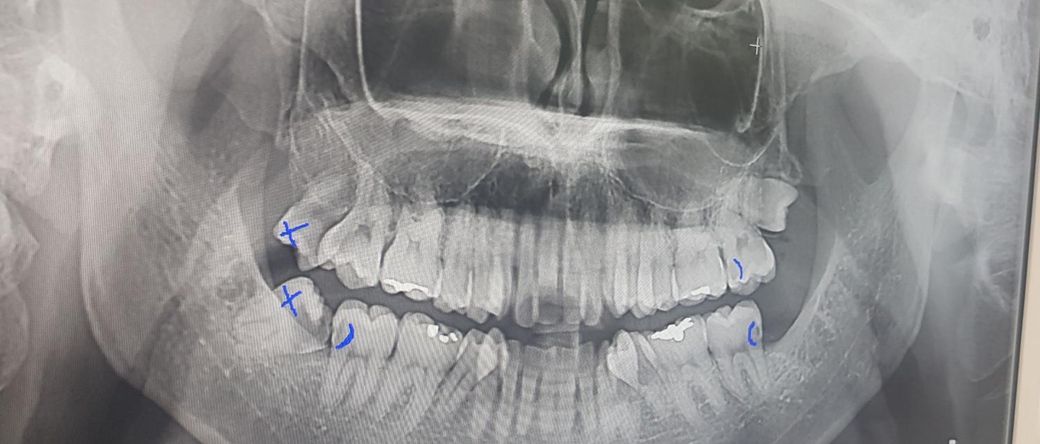
왼쪽 맨 아래 어금니 충치가 신경과 거리가 좀 되는 편인가요?

오른편은 다행히 신경이 드러나지 않아 레진으로 덮고 끝났습니다.

왼쪽을 할 차례인데 현재 신경과 거리가 좀 먼 편인가요?

그냥 레진으로 끝날 수 있는 상황인가요?

  • 1번 째 사진

3개의 답변이 있어요!

  • 김지훈 치과의사

    김지훈 치과의사

    메가

    안녕하세요. 김지훈 치과의사입니다.

    왼쪽을 할 차례인데 현재 신경과 거리가 좀 먼 편인가요?

    그냥 레진으로 끝날 수 있는 상황인가요?

    -> 힘들것 같습니다.

  • 안녕하세요. 안상우 치과의사입니다.

    사진으로 봤을 경우에는 왼쪽 아래 어금니의 경우에는 레진으로 충전을 하기에는 잇몸 아래쪽으로 너무 내려간것으로 보입니다. 충치는 사진상으로는 깊어 보이지 않지만 실제적으로 제거했을 경우에 깊을수도 있습니다

  • 안녕하세요. 최석민 치과의사입니다.

    1. 일단 레진 또는 인레이로 시도해보되 신경치료 가능성도 있는 상황이라고 보시면 됩니다.

    2. 엑스레이 사진보다는 충치의 경우 더 깊은 경향이 많고, 충치 제거하다보면 비 의도적으로 신경이 뚫리기도 합니다.