아하
  • 토픽

  • 스파링

  • 잉크

  • 미션


의료상담

대체로자발적인순록

대체로자발적인순록

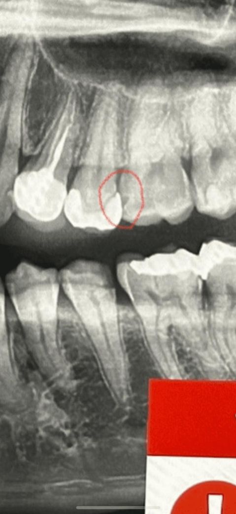
인접면 충치치료 어떻게 해야할까요?

26번치아 인접면 충치인걸로 보이는데 인레이 해야할 것 같다고 진단 받은 상태입니다.

일단 오케이 하고 나왔는데 아마 하이브리드 인레이로 진행하려고 했다고 합니다.

집에와서 이것저것 찾아봤는데 여러가지 궁금증이 생겨 질문 올려봅니다.

1. 인접면 충치라고해도 범위가 작으면 레진치료로 해결 할 수 이을까요?
제가 범위가 큰지 작은지는 잘 모르겠습니다..


2. 인레이 치료를 하게된다면 어떤 재료로 하는게 좋을까요?
- 골드, 이맥스, 하이브리드 중
- 기존 인접면 충치는 골드로 진행 했었는데 최근에 쐐기효과에 의한 치아파절 문제가 종종 발생한다고 하여 걱정입니다.
- 예전에 일반세라믹으로 한번 했었는데 금방 깨졌었습니다.
- 이맥스는 저희 지역에 하는곳이 찾기 어렵고 술자의 역량에 따라 많이 갈린다고 하여 고민입니다.

잘 안보이는 치아라 심미적인 부분이나 금액적인 부담은 생각하지 않고 있습니다.

미리 고견 감사합니다!

  • 1번 째 사진

3개의 답변이 있어요!

  • 김철진 치과의사

    김철진 치과의사

    가까운우리치과

    안녕하세요. 김철진 치과의사입니다.

    사진상에 저정도 인접면 충치라면 레진보다는 인레이 치료를 하시는게 좋을것같습니다. 요즘에는 골드 보다는 치아색 나는 재료를 많이 사용합니다.

  • 안녕하세요. 최석민 치과의사입니다.

    범위는 아주 크진 않은데 접근이 어려워서 위에서부터 뚫고 내려가야 할 것 같습니다. 그렇게 되면 충치보다 떼우는 양이 더 커지죠.

    인레이 재료는 요새 물성이 개선되면서 다 훌륭합니다.

    금 인레이 크랙 유발 걱정되신다면 (씹는 힘이 강하시다면) 다른 재료 선택하시는 것도 좋습니다.

    원한다면 레진으로 떼울 순 있으나 인레이보다 덜 정교하여 음식물이 잘 낄 수 있습니다.

  • 안녕하세요. 안상우 치과의사입니다.

    운전면허 충치가 있는 경우 레진으로 수복을 할 수도 있습니다. 하지만 인접면의 부분이 부정확하게 수복이 되어 해당 부위에 음식물이 낄 수 있습니다.

    인접면에 충치가 있다면 크라운이나 인레이와 같은 간접 수복물로 치료를 해주는 것이 좋습니다. 인레이 경우에는 여러 가지 재료가 있을 수 있지만 최근에는 테세라라고 하는 세라믹과 레진의 중간 정도의 강도를 받는 재료를 많이 사용합니다. 인레이을 하고 난 다음에 파절이 되거나 한다면 인레이로는 버티지 못하는 힘이 해당체에 가해지는 것이기 때문에 크라운 치료를 받는 것이 좋을 수 있습니다.