의료상담

이런 피부 속 사진은 어떻게 찍는건가요?

성별

남성

나이대

20대

가끔 피부과 사진이나 스킨케어용품 홍보용 사진을 보면 이런식으로 피부 사진을 찍어서 홍보하던데요.

뭐 흡수가 잘된다. 모공이 좁아진다. 이런식으로요.

근데 이런 사진은 어떻게 촬영하는건가요?

  • 1번 째 사진

1개의 답변이 있어요!

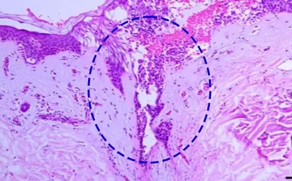
  • 제시된 사진은 일반 촬영이 아니라, 피부 조직을 실제로 떼어내어 현미경으로 관찰한 조직학적 이미지입니다.

    과정은 다음과 같습니다. 피부를 아주 작은 크기로 절제(피부 생검)한 뒤, 이를 포르말린으로 고정하고 파라핀에 묻어 매우 얇게 절단합니다. 이후 헤마톡실린-에오신 염색을 시행하면 세포핵은 보라색, 세포질은 분홍색으로 보이게 됩니다. 이 슬라이드를 광학현미경으로 관찰하면서 촬영한 것이 현재 보신 사진입니다. 즉, 살아있는 피부를 그대로 촬영한 것이 아니라 조직을 가공한 뒤 보는 것입니다.

    따라서 화장품 광고에서 보이는 이런 “피부 단면” 이미지는 실제 사람 피부를 직접 촬영한 것이 아니라, 실험용 조직(인체 또는 동물, 혹은 인공 피부 모델)을 이용한 현미경 사진이거나, 일부는 연출된 이미지일 가능성이 있습니다. 실제 사용자의 피부에서 비침습적으로 저 정도 해상도의 단면 구조를 보는 것은 일반적인 방법으로는 어렵습니다.

    채택 보상으로 17.46AHT 받았어요.

    채택된 답변