아하
  • 토픽

  • 스파링

  • 잉크

  • 미션


의료상담

탈퇴한 사용자

탈퇴한 사용자

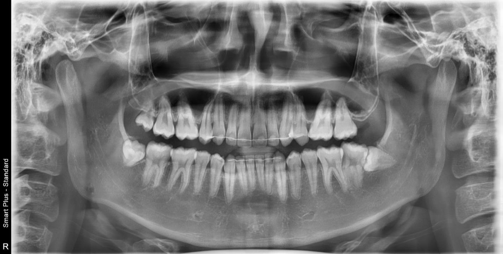
어금니 뿌리 휘어진거 괜찮나요?


우측 하단에 보면 어금니가 45도로 휘어있는데 문제 없을까요 아니면 치료를 따로 받아야 하나요? 사랑니는 이번주 발치 예정입니다

  • 1번 째 사진

4개의 답변이 있어요!

  • 김지훈 치과의사

    김지훈 치과의사

    메가

    안녕하세요. 김지훈 치과의사입니다.

    어금니에 염증 등 특이한 소견은 안보이니 일단 사랑니 발치 후에 지켜보시면 될 것 같습니다.

  • 안녕하세요. 김철진 치과의사입니다.

    치아 뿌리가 휘어졋다고 크게 문제가 잇는건 아닙니다. 신경쓰지 않으셔도 되니 걱정하지마세요.

  • 안녕하세요. 최석민 치과의사입니다.

    사진상 오른쪽이 실제로는 왼쪽입니다. 왼쪽 어금니 뿌리가 약간 굽어있는 것은 큰 문제는 없습니다만 사랑니가 두번째 어금니에 매우 근접해 있었기 때문에 사랑니 발치 시 좀 더 해상도가 높은 x-ray를 찍어 충치여부를 검사해보면 좋을 것 같습니다.

    사진상 왼쪽 (실제로 오른쪽 어금니) 위 어금니 뿌리 휘어진 것도 정상 범주입니다 .

  • 안녕하세요. 송우식 치과의사입니다.

    현재 사랑니로 인해 앞의 어금니에 손상이 발생한 것으로 보입니다. 만약 앞의 어금니에 신경손상이 있는 경우에는 신경치료가 필요로 될수 잇습니다.

    궁금증 해소에 도움이 되시길 바라며, 도움이 되신 경우 '추천' 부탁드립니다.