아하
  • 토픽

  • 스파링

  • 잉크

  • 미션


의료상담

겁나자연친화적인부르주아

겁나자연친화적인부르주아

인접면 충치 지켜봐도 되겠죠? 3개의 진료

인접면 충치로 3개 치과를 갔습니다

1치과 육안으로 확인 후 근접 촬영만 하고 인레이

2치과 엑스레이 찍었지만 잘보이지 않고 있다해도

작아서 경과를 지켜보자

3치과 엑스레이 찍고 확인이 어려워 근접 엑스레이

추가 촬영 했지만 너무 작거나 안보인다

경과를 지켜보자

고민 되는건 육안으로 보인다는데 엑스레이에선

안보이거나 너무 작다는게 의아합니다

또 인접면 충치가 진행되는 속도를 알 수 있을까요?

3개월 마다 검진 받으면 위험 할 정도로 커지진 않겠죠?

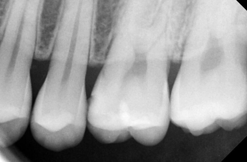
  • 1번 째 사진
  • 2번 째 사진
  • 3번 째 사진

3개의 답변이 있어요!

  • 김지훈 치과의사

    김지훈 치과의사

    메가

    안녕하세요. 김지훈 치과의사입니다.

    치아 사이에 충치가 명확히 보이는 편이며 치료를 할지 여부는 본인이 선택하시면 되겠습니다.

  • 안녕하세요. 김철진 치과의사입니다.

    치아 사이에 충치가 잇는건 맞으니 지금 치료를 원치 않으시면 정기적으로 검진을 받으시는게 좋을것같습니다.

  • 안녕하세요. 최석민 치과의사입니다.

    본인기준 오른쪽 위 작은어금니 충치 큰 엑스레이 사진상에서 보이네요 치료해야할 정도입니다

    작은 엑스레이 사진은 왼쪽 작은어금니 찍은겁니다