아하
  • 토픽

  • 스파링

  • 잉크

  • 미션


의료상담

어린당나귀152

어린당나귀152

오른쪽 편도에 통증이 있어요. 왜그럴까요?

성별

여성

나이대

22

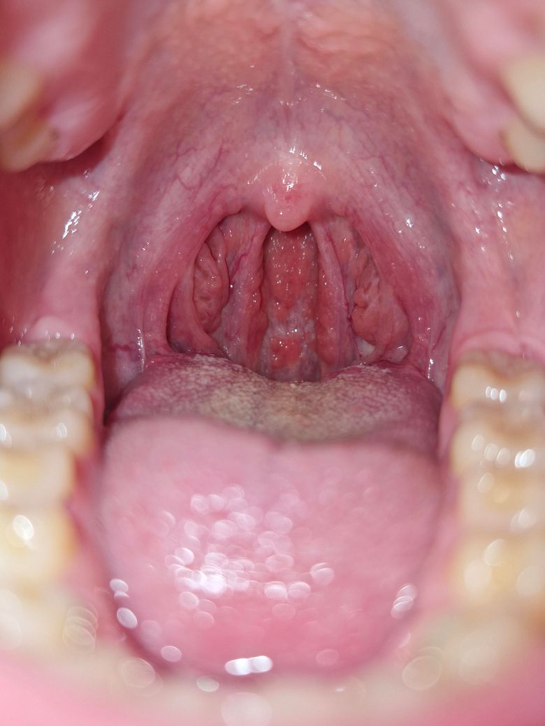
사진기준으로 왼쪽 편도에 통증이 느껴지는데, 보기에 어떠시나요? 요새 계속 피곤한데 관련이 있는지... 별게 아니였음 좋겠네요

편도에 울퉁불퉁 생긴거는 몇개월? 1년? 된것 같아요

그리고 그쪽 목림프절이 아프구요. 귀아래 턱에 작은 멍울이 만져져요.

  • 1번 째 사진
  • 2번 째 사진

1개의 답변이 있어요!

  • 최성훈 내과 전문의

    최성훈 내과 전문의

    고려병원

    안녕하세요. 최성훈 의사입니다.

    올려주신 사진만으로 답변을 드리기 제한적이나 큰 이상은 없어 보입니다.

    그러나 불편감이 지속되며 귀 아래 턱에 만저지는 작은 멍울에 대해 이비인후과 진료를 받을 것을 권합니다.