홈
토픽
스파링
잉크
미션
전문가 신청
베리몰
나도 질문하기
의료상담
한참잘먹는청국장
성별
남성
나이대
27
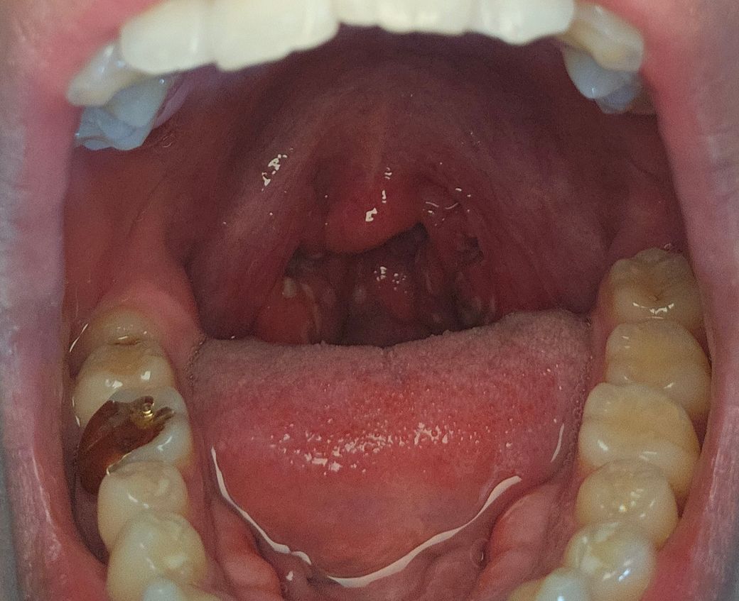
목감기인 줄 알고 약 처방 받았는데 낫지도 않고 어느 순간 편도에 뭐가 나있더라구요 이게 편도결석 편도염 그런건가요? 목 찢어질거같네요.. 3,4일간 열과 몸살도 같이 나고 그럽니다
사진 보기
1개의 답변이 있어요!
서민석 의사
가톨릭대학교 인천성모병원 가정의학과
∙
편도 결석보다는 편도염이 심한 상태라고 판단됩니다. 하얗게 보이는 부분은 염증이 심해서 나타난 소견 같아요. 암은 아니구요. 일단 편도염 약을 당분간 복용하면서 증상 조절해 보시기 바랍니다.
평가
응원하기