의료상담
55글자 더 채워주세요.
2개의 답변이 있어요!
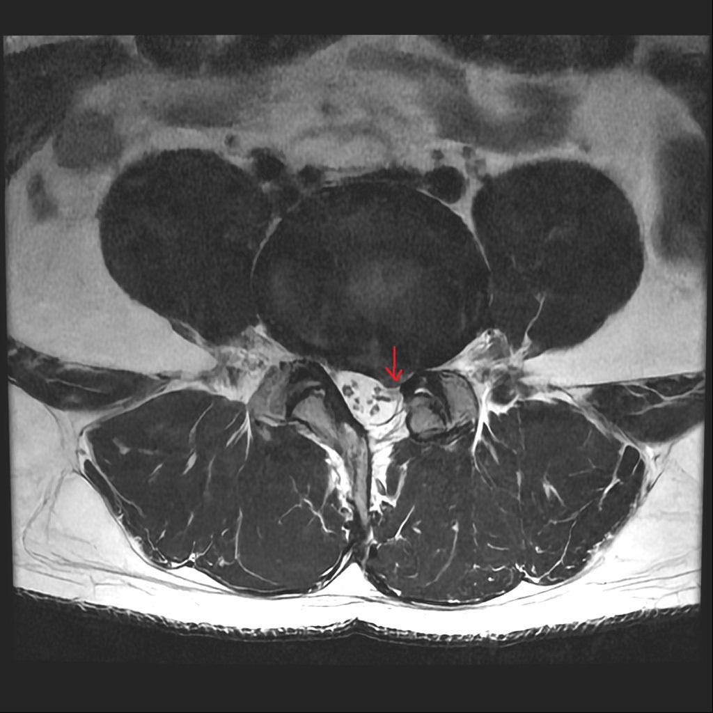
안녕하세요. 영상의학과 전문의 최원제 의사입니다.
올려주신 MRI 사진상 4번-5번 요추의 디스크 탈출이 있고, 신경도 누르고 있는게 의심됩니다.
근전도에서도 5번 요신경에 문제가 있다고 하네요.
정식판독은 MRI를 촬영한 곳에 가서 받으시면 되겠습니다.
안녕하세요. 송진영 물리치료사입니다.
올려주신 mri 와 근전도 소견을 종합하면 좌측 L5 신경근이 심하게 압박받고 있으며 신경 손상 증거가 나타납니다.
현재 발가락이 위로 들리지 않고 힘이 빠지는 상태는 신경 기능이 심각하게 손상된 상태로 보존적 치료만으로는 회복이 어려울 수 있습니다.
이미 1년 이상 증상이 지속되고 이전 수술 후 보다 심해졌다면 수술적 신경 감압이나 전문적인 재활치료가 필요할 가능성이 높습니다!

