아하
  • 토픽

  • 스파링

  • 잉크

  • 미션


의료상담

활발한타킨262

활발한타킨262

앞니 뿌리가 짧은데 발치하는 게 나을까요?

안녕하세요

부정교합이 심해 교정을 하려고 하는데요

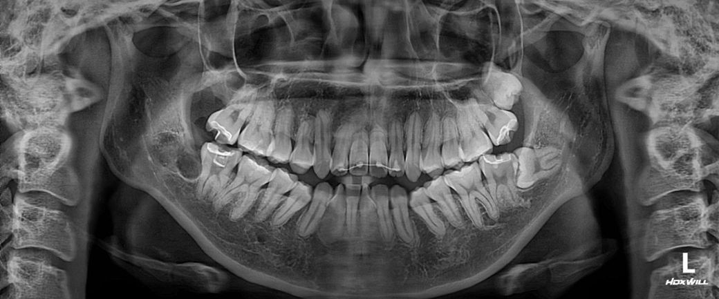
윗 앞니 두개 뿌리가 짧아서 고민이 되네요

개인병원 두 곳에서는

"앞니는 두고 소구치를 뽑아 교정하자,

만약 앞니를 못 쓰게 된다면 그때 가서 임플란트를 해라"라고 하고

대학병원에서는

"앞니를 못 쓸 것이 명백하니 소구치 대신 앞니를 발치하고 교정하자"고 하네요.

앞니를 살리고 교정할 시 앞니가 빠질지 안 빠질지는 복불복인 것 같은데, 이럴 바에 그냥 뽑는 게 나을까 싶기도 하고요.

대학 병원에서 앞니 뽑고 교정 시 치아들이 앞으로 한 칸씩 당겨오는 셈이라 이런 식으로 될 거라 하더라고요.

근데 20대 여자로서 앞니를 뽑는다는 게 부담이 되기도 하고.. 하지만 어차피 빠질까봐 불안할거 아예 뽑아서 후환을 없애버릴까 싶기도 하고요. 앞니 임플란트를 한다고 생각하면 그것도 싫어서요.

어떻게 하는 게 나을까요?

  • 1번 째 사진
  • 2번 째 사진
  • 3번 째 사진

4개의 답변이 있어요!

  • 정진석 치과의사

    정진석 치과의사

    대학병원 통합치의학전문의

    안녕하세요. 정진석 치과의사입니다.

    현재 구강 내 사진이 필요하기는 하나 올려주신 파노라마 사진으로 보았을 때는 교정 시 앞니 뿌리가 짧아서 결국에는 문제가 생길 가능성이 큽니다. 따라서 추후 치료 계획을 가지고 시행하는 것이 좋으며 나중에 앞니를 못쓰게 되면 다시 임플란트를 해라고 하는 것은 도중에 치료 계획이 바뀌는 것이기 때문에 대학병원에서 이미 이를 예측하고 세운 교정 계획을 따라 시행하는 것이 가장 맞아 보입니다. 미리 계획을 세워놓아야 추후 나타날 수 있는 부작용 등을 효과적으로 대처할 수 있습니다.

    아무쪼록 저의 답변이 문제 해결에 작게 나마 도움이 될 수 있기를 기원드립니다. 항상 건강하고, 행복하세요^^

    정진석 치과의사 드림

  • 안녕하세요. 김철진 치과의사입니다.

    참어려운 케이스이네요. 일반적으로 교정은 소구치를 뽑고 합니다. 하지만 대학병원 교수님이 앞니 발치를 권유하신데는 이유가 잇다고 생각합니다. 젊으셔서 앞니를 발치하는게 부담스러우실테니 저라면 소구치 발치를 먼저 고려해볼것같습니다.

  • 탈퇴한 사용자

    탈퇴한 사용자

    안녕하세요. 장인아 치과위생사입니다.

    가상사진 어색하지 않습니다.

    아무리 임플란트를 잘 한다해도 자연치아를 따를수는 없습니다.

    수명이 짧은 앞니를 발치하고 소구치를 살리는것이 예후가 좋을수 있습니다.

    도움이 되기를 바랍니다. 건강하세요.



  • 안녕하세요. 안상우 치과의사입니다.

    앞니의뿌리가 짧을경우 교정을하는 도중에 흔들림이 심해져서 결과적으로 탈락이 될수 있습니다. .

    부정교합이 심하지 않다면 그렇지 않을수도 있으며 차후에 탈락이 된다고 해도 보철치료등으로 치아의 치열을 회복할수 있습니다.

    환자분의 결정에 따라 치료계획을 잡는것이 좋을것으로 생각됩니다.