아하
  • 토픽

  • 스파링

  • 잉크

  • 미션


의료상담

제일웃긴코스모스

제일웃긴코스모스

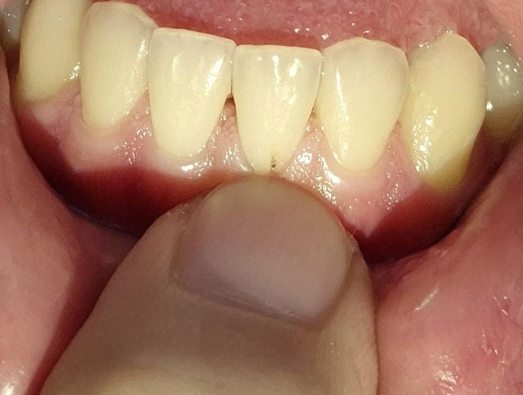
아래 앞니 검정색 점이 생겼는데 충치일까요?

41번(41번 맞나요..?)치아 아래쪽에 사진처럼 검정 점이 보여서 잇몸 살짝 내려보니까 사진과 같은 상태인데 만져보니까 움푹 패여서 저 부분이 깨진 것 같기도 하구요 최근 치과 방문이 1달 전인데 그때는 없었던 것 같고 근 1주 이내에 생긴 것 같은데 충치일까요..? 아니면 그냥 놔둬도 될까요? 만약 치료한다면 레진이나 지아이 선에서 끝낼 수 있는지 아니면 심각한 건지 궁금합니다..

  • 1번 째 사진

2개의 답변이 있어요!

  • 안상우 치과의사

    안상우 치과의사

    목동안치과의원

    안녕하세요. 안상우 치과의사입니다.

    사진으로 보이는 부분은 충치일수도 있지만 단순한 착색일수 있습니다.

    착색의 경우에는 간단하게 제거할 수 있으며 충치라면 치료를 하는것이 좋습니다.

    자세한 확인을 위해서 병원에서 진료를 받아보는 것을 권유드립니다.

  • 안녕하세요. 최석민 치과의사입니다.

    사진상으론 단순 착색같은데 패인게 느껴진다면 치과가서 한번 검사 다시 해보는 것이 좋겠습니다 깊게 파이지 않았다면 레진으로 떼우는 정도로 마무리됩니다