아하
  • 토픽

  • 스파링

  • 잉크

  • 미션


의료상담

사려깊은허스키91

사려깊은허스키91

유학생인데 치아상태 봐주시면 정말 감사하겠습니다.

안녕하세요, 미국에서 유학중인 학생이고 약 9일뒤 한국 방문할 예정입니다.

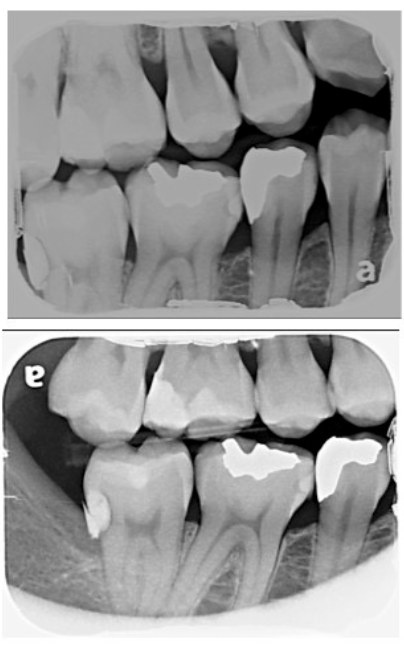
3일전 치과검진 다녀왔고 방사선상 아래턱 두번째 어금니에 인접면 (오른쪽) 충치소견을 받았습니다.

의사 선생님은 전체적으로 보시더니 칫솔을 지금보다 부드러운걸로 바꾸라고 하셨고 (잇몸이 좀 상했다?고 하셨던거 같아요 ㅠ) 충치는 당장 급한건 아니고 한국가서 치료받아도 괜찮다고 하셔서 일단 스케일링만 했습니다.

스케일링을 1년 반만에 해선지 치석이 많이 쌓여있었고, 해당부위도 치석을 제거할때 많이 시렸습니다.

근데... 스케일링 3일차부터 해당 부위가 치아가 잡아당겨지는듯한? 불편감이 듭니다. 음식을 씹을때 아프진 않은데 불편감은 여전히 있습니다. 밤에나 컨디션이 나쁠때는 더 불편합니다 잠에 방해될 정도로요 ㅠ

저는 평소 바스법으로 양치하는데 해당 잇몸에 칫솔을 깊숙이 넣으면 아프고 (치실도 잇몸 깊숙이 못넣습니다 ㅠ), 식사후 바로 양치를 하고나면 증상은 약간 호전됩니다. 잇몸 자체는 붓거나 피가 나진 않아요. 마지막으로 방사선 및 검진에서는 문제 없다고 한 치아들도 간혹 간질간질하거나 찬바람에 시릴때가 있어요.

기다렸다 한국에서 치료받아도 되는지, 아니면 당장 치료가 필요한 상태인지 한국에 계신 치과선생님들 의견을 여쭙고 싶습니다, 감사합니다!

  • 1번 째 사진

2개의 답변이 있어요!

  • 김철진 치과의사

    김철진 치과의사

    가까운우리치과

    안녕하세요. 김철진 치과의사입니다.

    치아가 시린경우는 치경부 마모증떄문에 그럴수도 잇고 잇몸안쪽에 염증이 생겨서 그럴수도 있습니다. 예전에 치아 사이에 충치치료를 많이 받으신거 같은데 치실이나 치간칫솔을 사용해주시는게 좋을것같습니다. 지금당장 급한 치료는 없는거 같습니다 .

  • 안녕하세요. 안상우 치과의사입니다.

    사진으로 봤을 경우에는 오른쪽 아래 맨 뒤에 치아 뒤쪽에 있는 충전 물이 부분적으로 탈락한 것으로 보입니다.

    해당 부위는 잇몸 안쪽에 있는 부분이기 때문에 접근이 매우 어려워서 치료하기가 까다로운 부위인데이 부분에 충전 물이 탈락이 되거나 부착된 부위도 떨어졌다면 외부 자극에 민감할 수 있습니다.

    해당 부위를 너무 강하게 자극하지 마시고 한국에 오실 수 있으면 치과에서 진료를 받아 보는 것이 좋습니다.