매복 사랑니가 어금니 치아 뿌리를 흡수 할 가능성이 있을까요?
안녕하세요
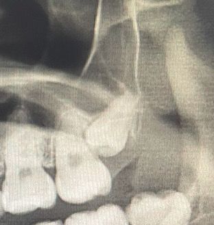
위쪽 어금니 옆 사랑니 방향이 너무 뿌리쪽으로 치우쳐서 그런데
치근 흡수 가능성이 있을까요??
뽑는게 더 좋을까요..?
안녕하세요. 김철진 치과의사입니다.
사진상에 잇는 사랑니는 특별한 이유가 없다면 발치를 안하셔도 될것같습니다. 오히려 발치를 하면 앞치아에 더 안좋게 작용할것같습니다.
안녕하세요. 김지훈 치과의사입니다.
치근을 흡수할 가능성이 있으나 정확한 진단은 3d 촬영이 필요하며 뽑는 것이 좋아보입니다.
안녕하세요. 안상우 치과의사입니다.
사진으로만 봤을 경우에는 뿌리를 흡수할 가능성이 높아 보이진 않습니다. 하지만 매복된 치아의 경우에는 드문 확률로 인접체 뿌리를 녹이는 경우도 있기 때문에 정확한 확인을 위해서는 주기적으로 치과에서 검진을 받아보는 것이 좋습니다.
안녕하세요. 송준범 치과의사입니다.
파노라마 상으로는 앞쪽 치아에 걸려있어 치근 흡수와 염증 및 충치발생 가능성은 있습니다. 다만 파노라마는 상이 중첩되어보이기 때문에 정확한 3차원적 관계를 보기 위해서는 ct를 찍어보아야 알 수 있습니다.
사랑니 발치의 필요성과 발치 시기에 대해서는 치과의사마다 의견이 조금씩 다른데 저는 개인적으로 문제가 발생하기 쉽게 맹출되어있는 경우에는 아직 뼈의 탄성이 있어서 비교적 발치가 쉽고 치유가 잘 되는 어린 나이에 예방적으로 발치하는 것을 권장드리고 전혀 문제가 없었다거나 발치에 대한 거부감이 있다면 주기적으로 관찰하는 것을 추천드립니다.
안녕하세요. 최석민 치과의사입니다.
사랑니가 옆의 어금니와 인접하기 때문에 치근흡수 및 충치유발 가능성이 다소 있는 상태입니다

