아하
  • 토픽

  • 스파링

  • 잉크

  • 미션


의료상담

기특한도마뱀141

기특한도마뱀141

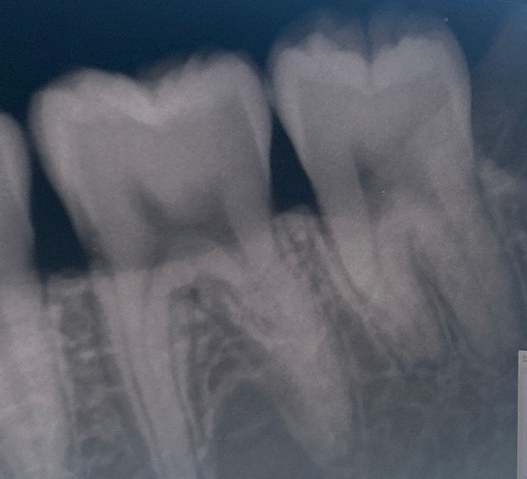
가장 오른쪽 치아가 충치가 맞나요? 어금니입니다.

가장 안쪽 어금니인 거 같아요! 충치가 맞다면 무슨 치료가 필요한지 궁금합니당 답해주신다면 감사하겠습니다 ㅠㅠㅠㅠㅠㅠㅠㅠㅠ

  • 1번 째 사진

4개의 답변이 있어요!

  • 김철진 치과의사

    김철진 치과의사

    가까운우리치과

    안녕하세요. 김철진 치과의사입니다.

    엑스레이 상으로는 충치가 크게 깊어 보이거나 하지는 않는거 같습니다. 상태에 따라서 간단히 충치치료만 하셔도 될것같습니다.

  • 안녕하세요. 김지훈 치과의사입니다.

    충치가 생긴것으로 보이며 깊지않은 충치이기 때문에 간단한 충치치료만 받으시면 될 것 같습니다

  • 안녕하세요. 안상우 치과의사입니다.

    어금니 사이에 음영이 보이는 걸로 보아 충치가 있을 가능성이 있어 보이기는 합니다 하지만 육안으로 더 자세히 검사를 해 봐야 알 수 있습니다

  • 안녕하세요. 최석민 치과의사입니다.

    현재 주어진 방사선 사진만으로는 가장 안쪽 치아는 인접면 충치는 없고 교합면(씹는면) 충치가 있을 순 있는 것으로 판단됩니다. 아직 증상이 느껴질 정도 또는 신경까지 근접한 심한 충치는 없습니다

    만약 씹을 때 느껴지는 통증이 있고 평소 딱딱한 음식을 즐겨 먹었다면 치아 크랙의 가능성이 있습니다