아핫뉴스실시간 인기검색어
아핫뉴스 화산 이미지
화산 아이콘 11
비트코인 폭락 경고
많이 본
아하

의료상담

치과

탈퇴한 사용자
탈퇴한 사용자

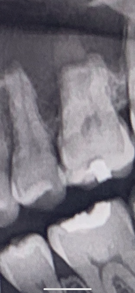
이거 인접면 충치인가요?궁금합니다.





첫번째 사진은 2020년이고

2번째 사진은 2023년9월사진입니다.


상악부분에 의심되는 충치가 있나요?

음식물 먹을 때 통증은 없는데

뭔가 욱신 거림은 있는 것 같아서 질문드립니다

  • 1번 째 사진
  • 2번 째 사진
2개의 답변이 있어요!
  • 안녕하세요. 치아를 사랑하고 아끼는 치과의사 최석민입니다.

    인접면 우식의 경우 인접한 두 치아가 겹치지 않게 찍은 사진이 필요합니다

    현재사진으로서는 인접면 우식에 대한 정확한 판단은 어렵고요

    증상과 관련해서는 기존에 씹는면 떼운부위가 살짝 깨졌거나 부러져 나가지는 않았는지 확인해봐야 합니다 틈이 있다면 그 사이로 침이 들어가 불편한 느낌이 생길 수 있습니다

    찬것, 뜨거운 음식을 먹을때 괜찮고 씹을때도 괜찮다면 치아 사이에 음식물이 끼어(식편압입) 잇몸에 염증이 생겨서 불편한 증상이 나타날수도 있습니다 사진상으로 치아 사이 컨택이 아주 깔끔하지는 않을 것으로 추측됩니다 치실이나 치간칫솔 통해서 해당부위 위생관리를 잘해주시면 증상이 완화될수도 있겠습니다

  • 안녕하세요. 김철진 치과의사입니다.

    일단은 약간 인접면 충치가 의심되지만 일단 욱신거린다면 충치보다는 잇몸이 안좋아서 그럴가능성이 잇으니 잇몸치료를 먼저 받아보세요.