의료상담
55글자 더 채워주세요.
5개의 답변이 있어요!
안녕하세요. 안상우 치과의사입니다.
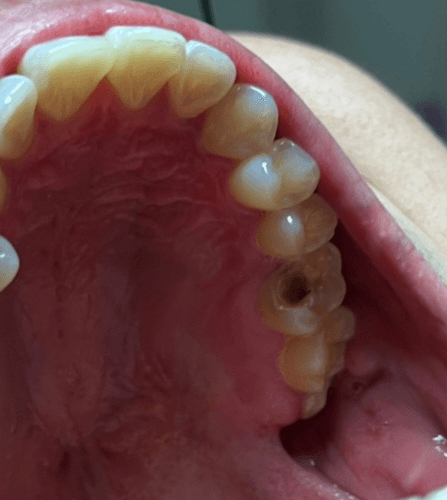
치아가 깨진 안쪽으로 충치가 보이는것으로 확인이 됩니다.
해당부위가 자극이 되면 신경에 염증이 생길수 있기 때문에 빠른시간내에 치료를 하는것이 좋아요.
안녕하세요. 김철진 치과의사입니다.
저정도로 깨지셔고 안에 충치가 잇다면 최대한 빨리 치과를 가보셔서 엑스레이 사진을 찍어보시고 치료를 받으시는게 좋을것같습니다.
안녕하세요. 김지훈 치과의사입니다.
바로 치과로 가셔서 치료를 받으시는 것이 좋아보이며 방치 시에는 추가적인 파절이 생길 수 있습니다.
안녕하세요. 최석민 치과의사입니다.
1. 사진상 색상으로 보아 이전부터 오래 진행되었던 충치로 생각됩니다
2. 통증은 없더라도 해당 깨진 부위로는 음식물이 잘 끼게되는 구조입니다. 제때 음식물을 안 빼주면 충치가 다시 활성화되고 추가적인 충치가 생길 수 있으므로 될 수 있는한 가급적 빨리 치과를 가야 합니다
안녕하세요. 송우식 치과의사입니다.
당장 치과를 가기 어려운 경우 우선은 해당 치아사용을 가능한 자제하길 권합니다. 자극감을 줄수 있는 맵고, 자극적인 음식이나 뜨거운 음식은 피하고, 가능한 빠른시일내에 치과 진료를 받길 권합니다.
궁금증 해소에 도움이 되시길 바라며, 도움이 되신 경우 '추천' 부탁드립니다.

