의료상담
충치가 생긴 사랑니는 뽑는게 맞나요?
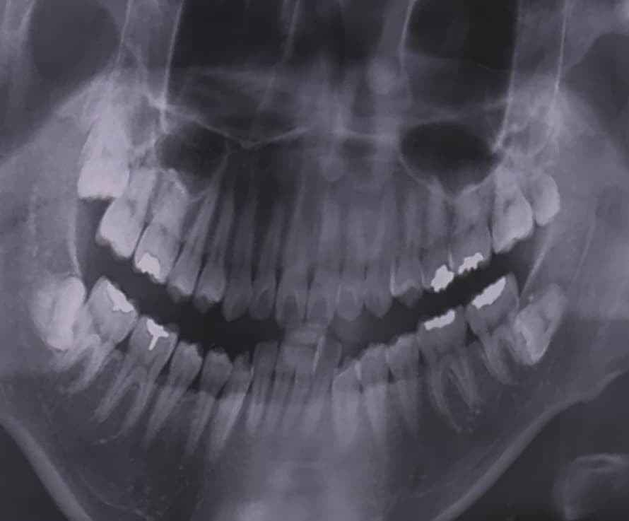
병원에서 윗쪽에 표시한 사랑니에 충치가 있다고 하는데 그냥 뽑는게 맞나요?
반듯하게 난건 나중에 스페어로 쓸수있다 그래서 고민이에요...
55글자 더 채워주세요.
3개의 답변이 있어요!
안녕하세요. 장인아 치과위생사입니다.
사랑니가 문제의 소지가 없으면 발치를 안해도 무관하지만 충치가 있으면 관리가 안되기 때문에 인접치의 손상, 지추주의염 등이 유발되기 전에 발치를 하는것이 좋습니다. 건강하세요.
안녕하세요. 안상우 치과의사입니다.
해당부위의 치아는 기능을 하지 않으며 충치가 있다면 치료나 관리가 힘든 부위입니다. 따라서 발치를 하는것이 사랑니나 주변조직에 도움이 될것으로 생각됩니다.
안녕하세요. 최석민 치과의사입니다.
사랑니를 스페어로 쓰는 개념은 있긴 하지만 흔치 않습니다. 이미 충치가 생긴 치아의 경우 나중에 쓰려고 한다면 일단 치료를 해줘야 하는데 기구 접근도 어렵고, 온전히 치료가 어려워서 치료를 해놔도 또 충치가 생길 가능성이 높은 치아입니다.
그런 치아를 스페어의 개념으로 남겨두는 것은 바람직하지 않습니다.
충치 생긴 사랑니는 빼는 것이 가장 현명합니다

