아하
  • 토픽

  • 스파링

  • 잉크

  • 미션


의료상담

솔직한칠면조181

솔직한칠면조181

치과 11월9일 갔는데 늦게 갔는것아니가요?

제가 11월9일 치과 갔는데요 조금 늦게 갔는것는상과없나요?

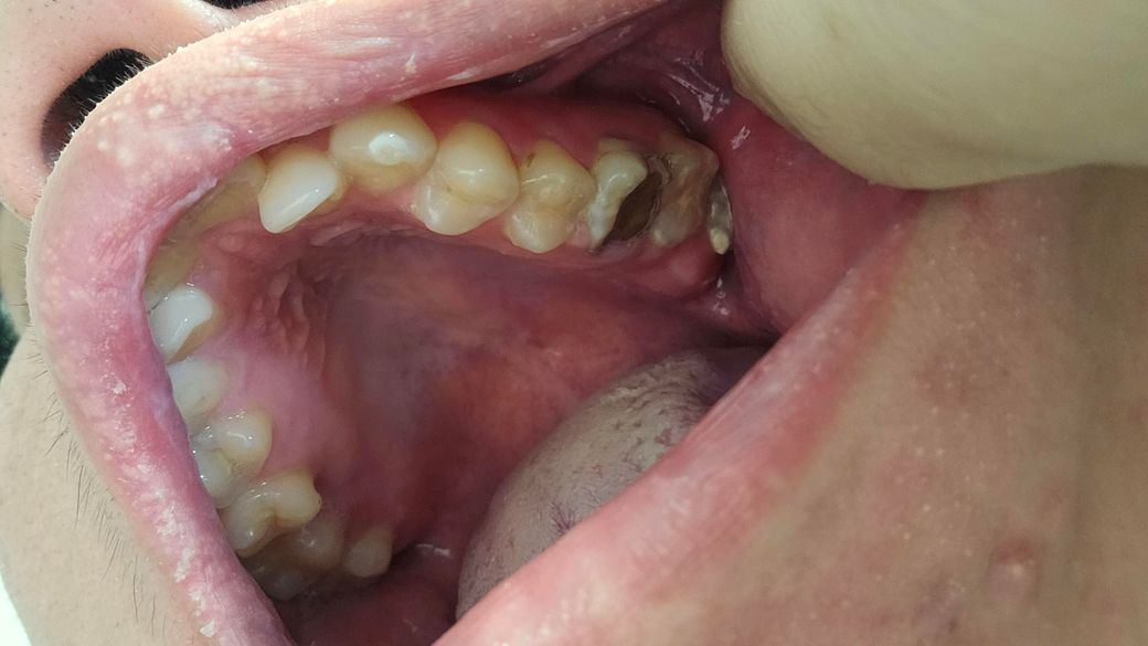
제가 이사진찍히이빨상태 이렇게되는데요 다음주 토요일 갔도 치료할수있나요 알려주세요

보통 마취하나요

다음주 치과 갔는데요 예약 꼭 해야하나요?

치과 갔면 어떤치료를받을수

  • 1번 째 사진
  • 2번 째 사진
  • 3번 째 사진

4개의 답변이 있어요!

  • 김철진 치과의사

    김철진 치과의사

    가까운우리치과

    안녕하세요. 김철진 치과의사입니다.

    치아 상태가 좋아 보이진 않습니다. 치료는 엑스레이를 찍어보고 치아 상태를 정확히 파악하고 나서 결정해야될것같습니다. 빨리 가셔서 치료를 받아보세요.

  • 안녕하세요. 김지훈 치과의사입니다.

    치아 상태가 안좋기 때문에 빠른 시일내에 내원하시면 되겠습니다. 예약하고 가시면 됩니다.

  • 안녕하세요. 안상우 치과의사입니다.

    사진으로 봤을 경우에는 이미 충치가 많이 진행된것으로 보입니다.

    빠른치료가 필요할것으로 보이며 충치가 치아의 뿌리 끝까지 진행이 되었을 경우 발치를 해야 할수 있습니다.

  • 안녕하세요. 최석민 치과의사입니다.

    1. 통증이 예상되는 치과치료는 전부 마취하고 합니다.

    2. 충치가 커서 발치 가능성도 있어보입니다.

    3. 치과는 예약진료가 보통입니다.