아하
  • 토픽

  • 스파링

  • 잉크

  • 미션


의료상담

솔직한칠면조181

솔직한칠면조181

제가 11월9일 치과 예약 하는것가?

제가 다음주토요일11월9일 치과 갔는데요 조금 늦게 갔는것가요 다음주 토요일 치과 예약 꼭해야하는것가요? 늦게갔도 치료할수있나요 제이빨상태가상태이면

다음주 토요일이면 늦게 갔는게 아니죠?

  • 1번 째 사진
  • 2번 째 사진
  • 3번 째 사진

4개의 답변이 있어요!

  • 김지훈 치과의사

    김지훈 치과의사

    메가

    안녕하세요. 김지훈 치과의사입니다.

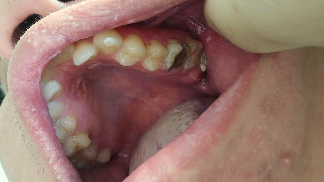
    이미치아 상태가 안좋기 때문에 2주 후에 간다고 해서 치료 방법에 크게 차이가 날 것 같진 않습니다.

  • 안녕하세요. 김철진 치과의사입니다.

    육안상으로 아래 치아는 발치를 하셔야될것같지만 위쪽 치아는 엑스레이를 찍어보고 치료를 할지 발치를 할지 결정해야될것같습니다.

  • 안녕하세요. 안상우 치과의사입니다.

    치아에ㅐ 이미 충치가 많이 진행된것으로 보입니다.

    빠른 치료가 필요할것으로 보이기 때문에 가능한 빠른 시간내에 치과에서 진료를 받아보는것이 좋습니다.

  • 안녕하세요. 최석민 치과의사입니다.

    치과는 당일 진료가 어려울 수 있습니다. 예약 반드시 하세요. 발치 가능성 있는 치아들입니다.