마른기침헛구역질이 점점 심해지고 있습니다 기관협착, 기관지염

반려동물 종류

강아지

원래는 한달을 주기로 한번 마른기침 헛구역질 하던것이 한달이 15일로 1주일로 하루에 한번 꼴로 주기가 점점 짧아지더니 원래는 밤 10~11시경 밤에만 마른기침 헛구역질 하던것이 이제는 낮에도 합니다

주로 흥분하거나 많이 짖거나 물을 마시고난후 그러는데 이제는 가만히 앉아있는 낮시간때에도 마른기침 헛구역질을 합니다

이런 마른기침을 할때 일으켜세워서 목이랑 가슴부근을 마사지해주면 그날 하루종일 기침을 안했는데

이제는 그것도 효과가 없습니다 코에 양쪽 맑은콧물이 그렁그렁 맺혀있는데요

현재 애가 몸상태가 부신도 안좋고 갑상선도 안좋고 의인성 쿠싱증후군에 갑상선항진증에 이러니 스테로이드나 항생제 항히스타민은 복용 못해주고 있는 상황입니다

워낙 흥분을 잘하는애라 지나가는 새만 봐도 엄청짖고.. 병원가는길 예를들어 병원이 30분거리면 차에서 30분동안 정말 미친듯이 목이 쉴정도로 쉬지않고 짖습니다

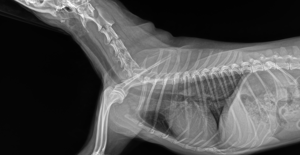
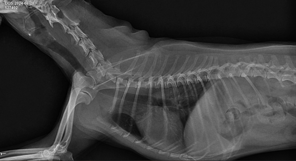
기관지는 염이있고 기관은 협착이 있다는데 치료를 어떻게 해야할까요?

스테로이드는 4월부터 디스크며 피부병이며 비염이며 하도 많이써서 이제 그만 쓰려하는데

세레타이드125 에어로솔 흡입치료 써보려하는데 효과가 있을까요

(6월초 입니다 우측 하단 화살표 클릭시 사진 커집니다)

(6월 말입니다 사진 우측 화살표 클릭시 사진 커집니다)

현재 부신과 갑상선도 안좋아

아래는 저의 예전 질문인데 혈액검사와 부신과 갑상선 ct 있습니다

https://www.a-ha.io/questions/49087698a7f7613fa6a928262b568d00

1개의 답변이 있어요!

  • 안녕하세요. 이은수 수의사입니다.

    공격적인 치료가 필요한 수준의 이상 상태는 아닌것으로 판단되니 환자를 직접 본 주치의의 판단을 따르시기 바랍니다. 또한 아래 사진처럼 경추 디스크 가능성이 있으니 이 부분에 대해서도 상담 받으시기 바랍니다.